Abstract
Introduction: Extramammary Paget’s disease of the scrotum and penis is a relatively rare cutaneous malignant tumor. At present, its pathogenesis, and clinical and pathological characteristics are not very clear. This is controversial regarding surgical margin width to decrease the high recurrence rate. This paper aimed to report the case and review the literature of extramammary Paget’s disease of scrotum and penis. Case Presentation: We presented the case of a 74-year-old male patient with the patchy erythema and pruritus in the perineum who was admitted to our department. Biopsy of the large plaque revealed Paget disease. Under the condition of ensuring negative surgical margins by rapid frozen pathology, a wide local excision of the lesion, bilateral orchiectomy, and adnexectomy were performed on the patient. Pathology revealed that many scattered vacuolated Paget cells were observed in the epidermal layer, and the diagnosis was Paget’s disease of the scrotum and penis. The 2 cm outside the skin lesion was used as the initial surgical margin, and free skin flap transplantation was used to repair the surgical wound. The patient recovered well and was discharged 1 week after surgery. Conclusion: Currently, histopathologic biopsy is the most important diagnostic method for EMPD. Once confirmed, for patients eligible for surgical intervention, wide local excision of the lesion and rapid intraoperative frozen pathological examination should be performed as soon as possible. The skin flap transplantation is the first choice for the repair of large-scale wound after surgery.
Introduction
Paget’s disease can be divided into mammary Paget’s disease and extramammary Paget’s disease (EMPD). EMPD is a rare intraepithelial malignant tumor [1]. It mostly occurs in sites with abundant apocrine sweat glands, such as scrotum, penis, vulva, perianal, and so on [2, 3]. EMPD of the scrotum and penis, also known as scrotal eczema-like carcinoma, is a relatively rare skin malignant tumor, accounting for only 6.5% of all Paget’s disease [4, 5]. EMPD of the scrotal and penile was first proposed by Crocker in 1889 [6]. It usually occurs in elderly men over 50 years old and is usually manifested as nonspecific erythema with clear boundary [7]. It has the characteristics of long course of disease, easy invasive growth, easy recurrence and metastasis [8, 9], and it is easy to be misdiagnosed as eczema or contact dermatitis in clinical presentation [10]. It seriously damaged the patient’s life; however, its pathogenesis, and clinical and pathological characteristics are still not very clear. This is controversial regarding surgical margin width to decrease the postoperative recurrence rate. This paper aimed to report the case and review the literature of EMPD of scrotum and penis from clinicopathological features, treatment methods, and wound repair ways, so that clinicians can better understand this disease.
Case Presentation
A 74-year-old male patient was admitted to our department due to experiencing patchy erythema and pruritus in the perineal area for over 5 years and the lesions progressively expanding with skin ulceration over the past 3 months. Five years ago, the patient initially noticed the patchy erythema on the scrota skin, which was covered with a small amount of white scales and accompanied by pruritus. The patient initially used acyclovir ointment to treat it by himself. After the pruritus symptoms relieved, the patient did not seek further medical care. However, 3 months ago, the patient observed that the lesions of scrota skin had gradually expanded to the pubic mound and penis, so he was admitted to our hospital for treatment. The patient had a medical history of hypertension for more than 14 years and diabetes for over 3 years. Upon physical examination, no abnormalities were detected in all systematic examinations and no enlargement of the lymph nodes was found in the bilateral inguinal region. Flake erythema of about 12.5 cm × 10.0 cm could be seen in the scrotum, penis, and pubic mound, with a few white scales overlying it. Skin ulceration and dark red blood scabs could be observed in the lesion. There were clear boundaries between the lesion and surrounding tissue (Fig. 1). There were no obvious abnormalities in blood routine, urine routine, liver and kidney function, and other laboratory examination tests. PET/CT results showed that the skin of bilateral scrotum was slightly thickened with increased metabolism, which was consistent with the appearance of malignant tumor, and the density and metabolism of the left testis were increased, which were considered as tumor invasion (Fig. 2). In histopathological examination, many scattered vacuolated Paget cells were observed in the epidermal layer, which had large cell bodies, abundant and light-stained cytoplasm, large and dark-stained nuclei. Besides, abnormal mitotic images were observed in Paget cells (Fig. 3). Immunohistochemical results showed GCDFP-15(focal +), CK7(+), CK20(+), EMA(+), MUC5AC(+), CEA(+), GATA3(+), CK5/6(−), P40(−), P63(−), Ber-EP4(−), KI-67(+30%), P53(+5%), CD56(−), Syn(−), AR(+) (Fig. 4). The pathological diagnosis was Paget’s disease of the scrotum and penis. Under general anesthesia, a wide local excision (WLE) of the lesion, bilateral orchiectomy, and adnexectomy were performed on the patient. The 2 cm outside the skin lesion was used as the initial surgical margin, and free skin flap transplantation was used to repair the surgical wound. The patient recovered well and was discharged 1 week after surgery.
a The skin lesion manifestation. b Marking the surgical margin. c The 2 cm outside the skin lesion was used as the initial surgical margin to excise the lesion. d Skin flap is obtained from the medial thigh near the inguinal region. e Free skin flap transplantation was used to repair the surgical wound. f Postoperative manifestation.
a The skin lesion manifestation. b Marking the surgical margin. c The 2 cm outside the skin lesion was used as the initial surgical margin to excise the lesion. d Skin flap is obtained from the medial thigh near the inguinal region. e Free skin flap transplantation was used to repair the surgical wound. f Postoperative manifestation.
a Metabolic status of bilateral inguinal lymph nodes. b The metabolism of the left inguinal lymph node is increased. c, d The scrotal skin on both sides was thickened and the metabolism was increased, especially on the left side. e The density and metabolism of left testis were increased, considering tumor invasion. f Metabolic status of whole body tissues. a-f PET/CT results showed that the skin of bilateral scrotum was slightly thickened with increased metabolism, and the density and metabolism of the left testis were increased, which were considered as tumor invasion.
a Metabolic status of bilateral inguinal lymph nodes. b The metabolism of the left inguinal lymph node is increased. c, d The scrotal skin on both sides was thickened and the metabolism was increased, especially on the left side. e The density and metabolism of left testis were increased, considering tumor invasion. f Metabolic status of whole body tissues. a-f PET/CT results showed that the skin of bilateral scrotum was slightly thickened with increased metabolism, and the density and metabolism of the left testis were increased, which were considered as tumor invasion.
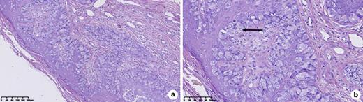
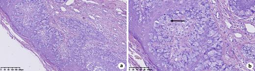
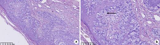
a Pathological images of the lesion showed Paget disease involving the epithelium of the skin (HE satin ×100 magnification). b Many scattered vacuolated Paget cells (black arrow) were observed in the epidermal layer, which have large cell bodies, abundant and light-stained cytoplasm, large and dark-stained nuclei. Moreover, abnormal mitotic images were observed in Paget cells.
a Pathological images of the lesion showed Paget disease involving the epithelium of the skin (HE satin ×100 magnification). b Many scattered vacuolated Paget cells (black arrow) were observed in the epidermal layer, which have large cell bodies, abundant and light-stained cytoplasm, large and dark-stained nuclei. Moreover, abnormal mitotic images were observed in Paget cells.
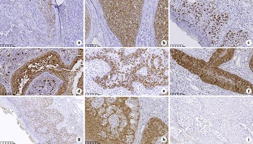
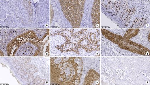
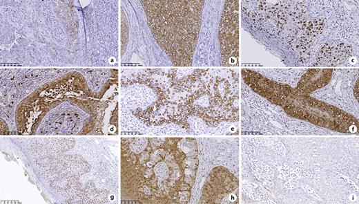
Immunohistochemical staining of EMPD lesion (×200 magnification). a Weakly positive staining for GCDFP-15. b Positive staining for CK7. c Positive staining for KI-67. d Positive staining for MUC5AC. e Positive staining for CK20. f Positive staining for CEA. g Positive staining for GATA3 (×100 magnification). h Negative staining for CK5/6. i Negative staining for Ber-EP4.
Immunohistochemical staining of EMPD lesion (×200 magnification). a Weakly positive staining for GCDFP-15. b Positive staining for CK7. c Positive staining for KI-67. d Positive staining for MUC5AC. e Positive staining for CK20. f Positive staining for CEA. g Positive staining for GATA3 (×100 magnification). h Negative staining for CK5/6. i Negative staining for Ber-EP4.
Discussion
EMPD is usually manifested as nonspecific erythema with clear boundaries [7]. The histopathological feature of EMPD is that many scattered vacuolated Paget cells are observed in the epidermal layer, which have large cell bodies, abundant and light-stained cytoplasm, large and dark-stained nuclei. Moreover, abnormal mitotic images are observed in Paget cells [11]. In terms of immunohistochemistry, some or all of Ki-67, GCDFP-15, CK7, P53, EMA, MUC5AC, CyclinD1, HER-2 are usually positive in the case of EMPD, while Melan A and CK5/6 are negative [12]. The positive expression of CK7 and GCDFP-15 highly suggests that Paget cells originated from apocrine sweat glands or other glands. The positive expression of Ki-67, CyclinD1, P53, and MUC5AC usually indicates the invasive growth of tumor cells and the possibility of tumor cell metastasis [13, 14]. HER-2 positivity often indicates the possibility of tumor cell metastasis to lymph nodes [15]. There are differences in the immunohistochemical expression between primary intraepidermal Paget’s disease and Paget’s disease originating from adenocarcinoma. GCDFP-15 and CK20 are mostly not expressed in primary intraepidermal Paget’s disease, while GCDFP-15 and CK7 are mostly strongly expressed in Paget’s disease originating from the accessory sweat glands below the skin [16, 17]. The positive results of GCDFP-15, CK7, Ki-67, and CyclinD1 in this case highly suggested that Paget cells originated from apocrine sweat glands or other glands and had the possibility of tumor invasion and metastasis [12] (Table 1).
The pathological characteristics of EMPD
| . | Gross appearance . | Microscopic appearance . | Immunohistochemistry . |
|---|---|---|---|
| Pathological characteristics | 1. The early stage: it is usually manifested as nonspecific erythema with clear boundaries, which may be accompanied by varying degrees of itching, pain, and burning sensation | 1. Many scattered vacuolated Paget cells are observed in the epidermal layer | 1. Usually, Ki-67, GCDFP-15, CK7, P53, EMA, MUC5AC, CyclinD1, HER-2 are positive, while Melan A, CK5/6 are negative |
| 2. The later stage: erosion, ulceration, bleeding, and exudation may occur in the lesion center, forming rough area lesions alternating with erosion and erythema | 2. Paget cells have large cell bodies, abundant and light-stained cytoplasm, large and dark-stained nuclei | 2. GCDFP-15 is a marker protein of apocrine sweat glands | |
| 3. CK7 and GCDFP-15 are positive which suggests that Paget cells are originated from apocrine sweat glands or other glands | |||
| 4. The positive expression of Ki-67, CyclinD1, P53, and MUC5AC usually indicates the invasive growth of tumor cells and the possibility of tumor cell metastasis | |||
| 5. HER-2 is positive which often indicates the possibility of tumor cell metastasis to lymph nodes |
| . | Gross appearance . | Microscopic appearance . | Immunohistochemistry . |
|---|---|---|---|
| Pathological characteristics | 1. The early stage: it is usually manifested as nonspecific erythema with clear boundaries, which may be accompanied by varying degrees of itching, pain, and burning sensation | 1. Many scattered vacuolated Paget cells are observed in the epidermal layer | 1. Usually, Ki-67, GCDFP-15, CK7, P53, EMA, MUC5AC, CyclinD1, HER-2 are positive, while Melan A, CK5/6 are negative |
| 2. The later stage: erosion, ulceration, bleeding, and exudation may occur in the lesion center, forming rough area lesions alternating with erosion and erythema | 2. Paget cells have large cell bodies, abundant and light-stained cytoplasm, large and dark-stained nuclei | 2. GCDFP-15 is a marker protein of apocrine sweat glands | |
| 3. CK7 and GCDFP-15 are positive which suggests that Paget cells are originated from apocrine sweat glands or other glands | |||
| 4. The positive expression of Ki-67, CyclinD1, P53, and MUC5AC usually indicates the invasive growth of tumor cells and the possibility of tumor cell metastasis | |||
| 5. HER-2 is positive which often indicates the possibility of tumor cell metastasis to lymph nodes |
The treatment methods for EMPD of the scrotal and penile include nonsurgical and surgical treatment. Nonsurgical treatment mainly involves radiotherapy, chemotherapy, photodynamic therapy, targeted therapy, and topical application of 5-fluorouracil, interferon, and 5% imiquimod cream [18, 19]. Radiotherapy and chemotherapy are mainly utilized for patients with advanced disease, extensive invasion, and distant metastasis that surgical resection is not feasible [20]. Photodynamic therapy is the combination of visible light with a specific wavelength and photosensitive agent to stimulate the production of reactive oxygen radicals in human tissues, leading to the destruction of tumor cells [12, 21]. Targeted therapy can also be applied to patients with HER-2 positive. Studies have shown that 20–60% of EMPD patients with high expression of HER-2 can be treated with HER-2-targeted drug trastuzumab, which can effectively reduce the tumor size and is well tolerated by patients with few adverse reactions [15]. Local treatment is minimally invasive and has few adverse reactions, but its application has limitations. Currently, it is mainly applicable to noninvasive EMPD.
Although there are many nonsurgical treatment methods, which have certain therapeutic effect, surgical resection is still the preferred treatment for EMPD of the scrotal and penile [18]. Currently, the common surgical treatment is WLE [21, 22]. However, there is ongoing debate about the scope of the surgical resection [23, 24]. For lesions with clear boundaries, most studies recommend that the resection range should be 2 cm away from the tumor edge, but some studies have shown that the resection range of 2 cm away from the tumor edge can only eliminate 59% of the lesions and advocate that the safe resection margin should exceed 3–5 cm of the entire tumor edge [23, 25]. In addition, EMPD is frequently multicenter and multifocal in clinical presentation, and the actual range of tumor involvement is larger than the range of local skin lesion manifestation. Conventional local surgical resection makes it difficult to remove the tumor completely, which causes occult surgical margin positive, increasing postoperative tumor recurrence rate. Therefore, ensuring negative surgical margins as much as possible is the key to surgical treatment of EMPD of the scrotal and penile. At present, the methods used to determine the surgical margin mainly include Mohs micrography, fluorescence angiography, and intraoperative frozen tissue pathological examination [26, 27]. Due to its high accuracy and low cost, rapid frozen pathological examination in a WLE is most commonly used in clinical presentation to determine surgical margin (Table 2). In this case, 2 cm outside the skin lesion was used as the initial surgical margin, and then the surgical margin was divided into 12 equal parts, marked with surgical suture. Finally, the whole lesion was completely removed and sent to rapid frozen pathological examination. For the site with positive incisal margin, the excision scope was extended by 1 cm, and the excised tissue was sent for examination until the pathological results were negative. Although this method increased the operation time, it could well preserve the normal tissue and reduce the scope of trauma. It also reduces the risk of tumor recurrence and second operation.
The treatment methods of EMPD
| . | Characteristics . | |||
|---|---|---|---|---|
| Treatment methods | Nonsurgical treatment methods | Radiotherapy and chemotherapy | Suitable for advanced patients, more adverse reactions, poorly tolerated by patients | |
| PDT | Simple to perform, but limited effect | |||
| Targeted therapy | HER-2(+). Reduce the tumor size, well tolerated by patients, few adverse reactions, but limited effect | |||
| Local treatment | Minimally invasive, few adverse reactions, mainly applicable to noninvasive EMPD | |||
| Surgical treatment methods | Clarify surgical margins | Mohs microscopic imaging | Good accuracy and low postoperative recurrence rate, but time-consuming, high cost | |
| Fluorescence angiography | Noninvasive, flexible, and repeatable, but poor accuracy | |||
| Rapid frozen pathological examination (RFPE) | Preserves normal tissue, reduces trauma, and low postoperative recurrence rate, but increases the operation time and cost | |||
| Conventional local surgical resection | Simple to perform, but poor accuracy and high postoperative recurrence rate | |||
| WLE + RFPE | Excellent accuracy, low surgical margin positive rate, and postoperative recurrence rate – first choice | |||
| . | Characteristics . | |||
|---|---|---|---|---|
| Treatment methods | Nonsurgical treatment methods | Radiotherapy and chemotherapy | Suitable for advanced patients, more adverse reactions, poorly tolerated by patients | |
| PDT | Simple to perform, but limited effect | |||
| Targeted therapy | HER-2(+). Reduce the tumor size, well tolerated by patients, few adverse reactions, but limited effect | |||
| Local treatment | Minimally invasive, few adverse reactions, mainly applicable to noninvasive EMPD | |||
| Surgical treatment methods | Clarify surgical margins | Mohs microscopic imaging | Good accuracy and low postoperative recurrence rate, but time-consuming, high cost | |
| Fluorescence angiography | Noninvasive, flexible, and repeatable, but poor accuracy | |||
| Rapid frozen pathological examination (RFPE) | Preserves normal tissue, reduces trauma, and low postoperative recurrence rate, but increases the operation time and cost | |||
| Conventional local surgical resection | Simple to perform, but poor accuracy and high postoperative recurrence rate | |||
| WLE + RFPE | Excellent accuracy, low surgical margin positive rate, and postoperative recurrence rate – first choice | |||
PDT, photodynamic therapy.
After surgical resection of the lesion, the commonly used methods for wound repair include one-stage direct suture, skin graft, and skin flap transplantation. For small-area wounds, one-stage direct suture can be adopted. For large-area wounds, skin graft or skin flap transplantation can be adopted. Skin flap transplantation can provide enough subcutaneous soft tissue and good blood supply, while the skin graft has poor blood supply and wound elasticity. Therefore, skin flap transplantation is the first choice for wound repair [28]. In the past, free skin graft was often used to repair large-area scrotal wound. But in the long term, patients may feel some discomfort such as testicular swelling or pain due to scar effect after skin grafting and spermatogenesis function may also be affected to varying degrees. Therefore, skin flap transplantation is often used to reconstruct the scrotum at present. For the repair of penile wound, free scrotal flap transplantation is the first choice, which has the characteristics of small tension, easy survival, and close to the surrounding skin in color and texture [29]. If there is not enough scrotal skin available, the skin of the inner thigh near the inguinal region can also be selected as the skin donor area. In this case, the patient had extensive lesions involving the scrotum, penis, perineal skin, and left testis. During the operation, the lesions on the perineum, scrotum, and bilateral testes were completely excised, with a rapid frozen histopathological examination performed to ensure that the operative margin was negative. After ensuring negative surgical margins, the prepuce and penile skin were completely separated in desheathing form from the superficial layer of Buck’s fascia at the root of the penis. The remaining scrotal skin was rotated to completely wrap the penis, and the skin from the medial thigh near the inguinal area was used for flap transplantation to repair the surgical wound in the perineal area. The flap transplantation area was drained with holes and covered with elastic bandage under even pressure to effectively reduce the occurrence of subcutaneous effusion and hematoma in the later stage [30, 31] (Table 3).
Wound repair methods after surgical resection of the lesion of EMPD
| . | . | Methods . | Characteristics . |
|---|---|---|---|
| Wound repair methods | Small-area wound | One-stage direct suture | Easy to operate, better preserve the normal tissue, reduce trauma |
| Large-area wound | Skin graft repair | Poor wound elasticity, poor blood supply | |
| Skin flap transplantation | It can provide enough subcutaneous soft tissue and good blood supply, which is conducive to wound repair – first choice | ||
| Scrotal flap transplantation is the first choice for the repair of penile wound |
| . | . | Methods . | Characteristics . |
|---|---|---|---|
| Wound repair methods | Small-area wound | One-stage direct suture | Easy to operate, better preserve the normal tissue, reduce trauma |
| Large-area wound | Skin graft repair | Poor wound elasticity, poor blood supply | |
| Skin flap transplantation | It can provide enough subcutaneous soft tissue and good blood supply, which is conducive to wound repair – first choice | ||
| Scrotal flap transplantation is the first choice for the repair of penile wound |
Conclusion
In conclusion, EMPD of the scrotal and penile is a relatively rare cutaneous malignant tumor. Its pathogenesis is not completely clear, and its clinical characteristics are also atypical, so that it is easily misdiagnosed as eczema and contact dermatitis [32]. In clinical presentation, it is often needed to distinguish from Bowen’s disease, mycosis fungoides, malignant melanoma [13, 33]. Currently, histopathologic biopsy is the most important diagnostic method. Once confirmed, for patients eligible for surgical intervention, WLE of the lesion should be performed as soon as possible and rapid intraoperative frozen pathological examination should be performed to ensure negative surgical margin, which can significantly improve the survival rate of patients and reduce the risk of postoperative recurrence. The skin flap transplantation is the first choice for the repair of large-scale wound after surgery. Scrotal skin flap, healthy tissue flap near the lesion, and skin flap of the medial thigh near the inguinal region can be selected as the flap donor area. The flap transplantation area should be drained with holes and covered with elastic bandage under even pressure to prevent the formation of subcutaneous effusion and hematoma [30, 31].
Statement of Ethics
Written informed consent was obtained from the patient for publication of this case report and accompanying images. Ethical approval is not required for this study in accordance with local guidelines.
Conflict of Interest Statement
The authors have no conflicts of interest to declare.
Funding Sources
This research was funded by the National Natural Science Foundation of China, Grant Numbers: 82260297 and 81960133, the Special Project of Yunnan Chronic Kidney Disease Clinical Medical Research Center, Grant Number: 202102AA100060, and the Yunnan University Women Pelvic Floor Dysfunction Research and Application of Science and Technology Innovation Team: K1322112.
Author Contributions
Xunguo Yang and Han Lin wrote the manuscript. Zhenhua Gao, Xingqi Wang, and Ling Li contributed to the conclusion and reviewed/edited the manuscript. Daoming Tian and Yubin Wen: visualization. The guarantor for this work is Jihong Shen. All authors have read and agreed to the published version of the manuscript.
Additional Information
Xunguo Yang and Han Lin contributed equally to this work.
Data Availability Statement
Data are not available due to ethical reasons. Further inquiries can be directed to the corresponding author.




