Abstract
Introduction: Growth arrest-specific protein 6 (Gas 6) is a ligand that plays a role in proliferation and migration of cells. For several tumor entities, high levels of Gas 6 are associated with poorer survival. We examined the prognostic role of Gas 6 in renal cell carcinoma (RCC), especially in papillary RCC (pRCC), which is still unclear. Methods: The patients’ sample collection is a joint collaboration of the PANZAR consortium. Patients’ medical history and tumor specimens were collected from n = 240 and n = 128 patients with type 1 and 2 pRCC, respectively. Expression of Gas 6 was determined by immunohistochemistry. Results: In total, Gas 6 staining was evaluable in 180 of 240 type 1 and 110 of 128 type 2 pRCC cases. Kaplan-Meier analysis disclosed no significant difference in 5-year overall survival for all pRCC nor either subtype. Also, Gas+ and Gas– groups did not significantly differ in any tumor or patient characteristics. Conclusion: Gas 6 was not found to be an independent prognostic marker in pRCC. Future studies are warranted to determine if Gas 6 plays a role as prognostic marker or therapeutic target in pRCC.
Introduction
Growth arrest-specific protein 6 (Gas 6) is a ligand of the Tyro3, Axl, and Mer (TAM) receptor tyrosine kinase family. The vitamin K-dependent protein Gas 6 is expressed in many different tissues and plays an important role in cell regulation [1]. Through the transmission of signals from the extra- toward the intracellular lumen, Gas 6/TAM can emphasize proliferation and inhibit cell death [2]. Overexpression of Gas 6 and TAM is a predictor of poorer survival in several tumor entities, such as ovarian cancer [3], pancreatic cancer [4], leukemia [5], or melanoma [6]. Also, Gas 6 induces migration of tumor cells and leads to metastatic diseases that are associated with poorer survival [7].
There are some studies that examine the expression of Gas 6 in renal cell cancer (RCC). In most studies, the majority of the tumors are clear cell RCC (ccRCC). It was shown that Gas 6 was expressed in ccRCC and non-ccRCC [8]. Especially in metastatic tumors, Gas 6/Axl expression was high and associated with poorer survival [9]. Since chemotherapy only plays a minor role in the therapy of RCC, Gas 6 could be a target for new immunotherapeutic options [10].
Papillary RCC (pRCC) is the second most common type after ccRCC, representing 10–15% of the RCC cases. To date, pRCCs are divided into two subgroups, type 1 and 2, according to histological features. Type 1 tumors often show a better survival and are associated with genetic alterations in the MET gene. Type 2 tumors show more heterogenic genetic profiles and poorer survival [11, 12].
In this study, we aimed to assess the expression of Gas 6 in pRCC and its prognostic role. To the best of our knowledge, this is the first study addressing the expression and prognostic relevance of Gas 6 in a large multicenter cohort of pRCC.
Methods
Patients and Tumor Characteristics
In total, 368 patients with pRCC, 240 (65.2%) type 1 and 128 (34.8%) type 2, were analyzed retrospectively. Specimen collection was a collaboration project of the PANZAR consortium. Contributing institutions were (in alphabetical order) Erlangen, Heidelberg, Herne, Homburg, Mainz, Mannheim, Marburg, Muenster, Munich (LMU), and Regensburg. Written informed consent from the patients was obtained by the participating institutions. The study was performed according to standards established in the Declaration of Helsinki. Renal surgery was performed between 1985 and 2007. After review by an experienced uropathologist (A.H.), one representative area of the pRCC tumors was selected to construct the tissue microarrays. For each case, the papillary subtype was defined according to the 2004 World Health Organization (WHO) tumor classification. Pathological TNM grading according to 2002 TNM classification was performed. All specimens were reviewed by AH in 2018 based on the tumor classification valid at the time.
Procedures
Expression of Gas 6 was determined by immunohistochemistry (IHC). Therefore, 2-μm TMA slides were stained for Gas 6 (anti-Gas 6 antibody, ab214488, Abcam, dilution 1:500). First of all, the antibody was applied for 30 min after heat pretreatment at 120°C for 5 min with Tris-EDTA buffer pH 9 and peroxidase blocking (Dako, Hamburg, Germany). The incubation with a horseradish peroxidase-labeled secondary antibody polymer (EnVision, Dako) was conducted for 30 min. After that, a diaminobenzidine substrate chromogen solution (Dako) was added for 10 min and counterstaining for 1 min with hematoxylin (Merck, Darmstadt, Germany). All incubation procedures were performed at room temperature. Positive control and negative control slides without the addition of primary antibody were included for each staining experiment. Paraffin-embedded human colorectal cancer tissue was used as the positive control. All stained tissue samples were assessed in a blinded way by a pathologist (F.E.). For the evaluation, we used a Leitz ARISTOPLAN light microscope (Leica Microsystems, Germany) with a ×10 eyepiece, a 22-mm field of view, and ×40 objective lens (Plan FLUOTAR ×40/0.70).
The staining reaction was classified according to a semi-quantitative IHC reference scale as previously described [13, 14]. Gas 6 was localized primarily on the membrane and partly in the cytoplasm of tumor cells.
The staining intensity was scored from 0 to 3 (0 = no staining, 1 = weak staining, 2 = moderate staining, 3 = strong staining) according to the H-Score as already described [15‒17]. The area of staining was evaluated in percent (0–100%); a staining intensity score was defined by multiplying the score with the stained area [18‒20]. Given the absence of normative data on cell membrane or cell cytoplasm staining intensity in the literature, values in our patient collectively were dichotomized using the median of observed distribution as the cutoff. Because of the limited number of cases, a binary cutoff was used. A Gas 6 staining lower or equal to the median was defined as Gas 6 negative, and a staining higher than the median was defined as Gas 6 positive.
Statistical Analysis
The primary endpoint of the study was overall survival (OS). In the absence of death, the endpoint was censored at the date of last follow-up. The duration of follow-up was calculated from the date of surgery to the date of death or last known follow-up. Dependent upon the nature of variable, χ2, Fisher’s exact tests, Mann-Whitney U test, or independent t test were used as appropriate, to compare between patient/tumor characteristics and the corresponding subgroup with or without Gas 6 expression. Kaplan-Meier survival times were estimated, with subgroups being compared using the log-rank test. SPSS 27.0 (USA) was used for statistical assessment. Two-sided p values below 0.05 were considered statistically significant.
Results
Gas 6 staining was evaluable in 180 of 240 patients with pRCC type 1 and in 110 of 128 patients with pRCC type 2 (Fig. 1). The patients’ clinicopathological characteristics are presented in Table 1
Study flow chart. pRCC, papillary renal cell carcinoma; n, number of patients included.
Study flow chart. pRCC, papillary renal cell carcinoma; n, number of patients included.
pRCC type 1 and type 2 patients’ and tumor characteristics
| Variable . | pRCC total, n = 290 . | pRCC type 1, n = 180 (67.8%) . | pRCC type 2, n = 110 (32.2%) . | p value . |
|---|---|---|---|---|
| Agea, median (IQR), years | 63.7 (55.0–71.0) | 63.0 (54.3–69.6) | 66.0 (57.0–73.4) | 0.056b |
| Sex, n (%) | ||||
| Female | 50 (17.2) | 30 (16.7) | 20 (18.2) | 0.620c |
| Male | 179 (61.7) | 115 (63.9) | 64 (58.2) | |
| NE | 61 (21.0) | 35 (19.4) | 26 (23.6) | |
| T stage, n (%) | ||||
| pT1 | 132 (45.5) | 95 (52.8) | 37 (33.6) | <0.001d |
| pT2 | 49 (16.9) | 35 (19.4) | 14 (12.7) | |
| pT3 | 45 (15.5) | 15 (8.3) | 30 (27.3) | |
| pT4 | 1 (0.3) | 0 (0.0) | 1 (0.9) | |
| pTx | 63 (21.7) | 35 (19.4) | 28 (25.5) | |
| Grade, n (%) | ||||
| G1 | 41 (14.1) | 41 (22.8) | 0 (0.0) | <0.001d |
| G2 | 118 (40.7) | 99 (55.0) | 19 (17.3) | |
| G3 | 85 (29.3) | 19 (10.6) | 66 (60.0) | |
| Gx | 46 (15.9) | 21 (11.7) | 25 (22.7) | |
| N metastasisa, n (%) | ||||
| N− | 268 (92.4) | 175 (97.2) | 93 (84.5) | <0.001c |
| N+ | 22 (7.6) | 5 (2.8) | 17 (15.5) | |
| M metastasisa, n (%) | ||||
| M− | 205 (70.7) | 140 (77.8) | 65 (59.1) | <0.001c |
| M+ | 16 (5.5) | 2 (1.1) | 14 (12.7) | |
| Mx | 69 (23.8) | 38 (21.1) | 31 (28.2) | |
| Locally or advanced, n (%) | ||||
| pT1/pT2 N0 M0 | 175 (60.3) | 127 (70.6) | 48 (43.6) | <0.001c |
| pT3/pT4 and/or N1 and/or M1 | 47 (16.2) | 16 (8.9) | 31 (28.2) | |
| NE | 68 (23.4) | 37 (20.6) | 31 (28.2) | |
| Variable . | pRCC total, n = 290 . | pRCC type 1, n = 180 (67.8%) . | pRCC type 2, n = 110 (32.2%) . | p value . |
|---|---|---|---|---|
| Agea, median (IQR), years | 63.7 (55.0–71.0) | 63.0 (54.3–69.6) | 66.0 (57.0–73.4) | 0.056b |
| Sex, n (%) | ||||
| Female | 50 (17.2) | 30 (16.7) | 20 (18.2) | 0.620c |
| Male | 179 (61.7) | 115 (63.9) | 64 (58.2) | |
| NE | 61 (21.0) | 35 (19.4) | 26 (23.6) | |
| T stage, n (%) | ||||
| pT1 | 132 (45.5) | 95 (52.8) | 37 (33.6) | <0.001d |
| pT2 | 49 (16.9) | 35 (19.4) | 14 (12.7) | |
| pT3 | 45 (15.5) | 15 (8.3) | 30 (27.3) | |
| pT4 | 1 (0.3) | 0 (0.0) | 1 (0.9) | |
| pTx | 63 (21.7) | 35 (19.4) | 28 (25.5) | |
| Grade, n (%) | ||||
| G1 | 41 (14.1) | 41 (22.8) | 0 (0.0) | <0.001d |
| G2 | 118 (40.7) | 99 (55.0) | 19 (17.3) | |
| G3 | 85 (29.3) | 19 (10.6) | 66 (60.0) | |
| Gx | 46 (15.9) | 21 (11.7) | 25 (22.7) | |
| N metastasisa, n (%) | ||||
| N− | 268 (92.4) | 175 (97.2) | 93 (84.5) | <0.001c |
| N+ | 22 (7.6) | 5 (2.8) | 17 (15.5) | |
| M metastasisa, n (%) | ||||
| M− | 205 (70.7) | 140 (77.8) | 65 (59.1) | <0.001c |
| M+ | 16 (5.5) | 2 (1.1) | 14 (12.7) | |
| Mx | 69 (23.8) | 38 (21.1) | 31 (28.2) | |
| Locally or advanced, n (%) | ||||
| pT1/pT2 N0 M0 | 175 (60.3) | 127 (70.6) | 48 (43.6) | <0.001c |
| pT3/pT4 and/or N1 and/or M1 | 47 (16.2) | 16 (8.9) | 31 (28.2) | |
| NE | 68 (23.4) | 37 (20.6) | 31 (28.2) | |
pRCC type 1 and type 2 patient’s and tumor characteristics of specimens eligible for Gas 6 IHC staining.
LN, lymph node; NE, not evaluable; N−, lymph node status unknown or tumor cells absent from regional lymph nodes; N+, regional lymph node metastasis present; M−, no evidence of metastatic disease; M+, evidence of metastatic disease.
aAt time of renal surgery.
bMann-Whitney U Test.
cFisher’s exact test.
dχ2 test.
Gas 6 Expression Pattern in pRCC Type 1
In total, Gas 6 staining was positive in 90 (50.0%) type 1 pRCC specimens. We could not find an association between Gas 6 expression and neither patient nor tumor characteristics (Table 2).
pRCC patient’s and tumor characteristics in dependence of Gas 6 expression
| Variable . | pRCC type 1 Gas 6−, n = 90 (50.0%) . | pRCC type 1 Gas 6+, n = 90 (50.0%) . | p value . | pRCC type 2 Gas 6−, n = 61 (55.5%) . | pRCC type 2 Gas 6+, n = 49 (44.5%) . | p value . |
|---|---|---|---|---|---|---|
| Agea, median (IQR), years | 62.0 (54.0–69.0) | 63.3 (55.0–70.0) | 0.438b | 66.0 (58.4–71.0) | 66.0 (53.1–74.3) | 0.802b |
| Sex, n (%) | ||||||
| Female | 12 (13.3) | 18 (20.0) | 0.414c | 9 (14.8) | 11 (22.4) | 0.612c |
| Male | 57 (63.3) | 58 (64.4) | 34 (55.7) | 30 (61.2) | ||
| NE | 21 (23.3) | 14 (15.6) | 18 (29.5) | 8 (16.3) | ||
| T stage, n (%) | ||||||
| pT1 | 46 (51.1) | 49 (54.4) | 0.292d | 21 (34.4) | 16 (32.7) | 0.530d |
| pT2 | 13 (14.4) | 22 (24.4) | 7 (11.5) | 7 (14.3) | ||
| pT3 | 9 (10.0) | 6 (6.7) | 13 (21.3) | 17 (34.7) | ||
| pT4 | 0 (0.0) | 0 (0.0) | 0 (0.0) | 1 (2.0) | ||
| pTx | 22 (24.4) | 13 (14.4) | 20 (32.8) | 8 (16.3) | ||
| Grade, n (%) | ||||||
| G1 | 15 (16.7) | 26 (28.9) | 0.248d | 0 (0) | 0 (0) | 0.750d |
| G2 | 51 (56.7) | 48 (53.3) | 9 (14.8) | 10 (20.4) | ||
| G3 | 10 (11.1) | 9 (10.0) | 34 (55.7) | 32 (65.3) | ||
| Gx | 14 (15.6) | 7 (7.8) | 18 (29.5) | 7 (14.3) | ||
| LN metastasisa or N stage, n (%) | ||||||
| N− | 87 (96.7) | 88 (97.8) | 1.0c | 51 (83.6) | 42 (85.7) | 0.797c |
| N+ | 3 (3.3) | 2 (2.2) | 10 (16.4) | 7 (14.3) | ||
| Distant metastasisa or M stage, n (%) | ||||||
| M− | 66 (73.3) | 74 (82.2) | 0.228c | 32 (52.5) | 33 (67.3) | 1.0c |
| M+ | 2 (2.2) | 0 (0.0) | 7 (11.5) | 7 (14.3) | ||
| Mx | 22 (24.4) | 16 (17.8) | 22 (36.1) | 9 (18.4) | ||
| Locally or advanced, n (%) | ||||||
| pT1/pT2 N0 M0 | 57 (63.3) | 70 (77.8) | 0.197c | 28 (45.9) | 20 (40.8) | 0.174c |
| pT3/pT4 and/or N1 and/or M1 | 10 (11.1) | 6 (6.7) | 13 (21.3) | 11 (22.4) | ||
| NE | 23 (25.6) | 14 (15.6) | 20 (32.8) | 11 (22.4) | ||
| Variable . | pRCC type 1 Gas 6−, n = 90 (50.0%) . | pRCC type 1 Gas 6+, n = 90 (50.0%) . | p value . | pRCC type 2 Gas 6−, n = 61 (55.5%) . | pRCC type 2 Gas 6+, n = 49 (44.5%) . | p value . |
|---|---|---|---|---|---|---|
| Agea, median (IQR), years | 62.0 (54.0–69.0) | 63.3 (55.0–70.0) | 0.438b | 66.0 (58.4–71.0) | 66.0 (53.1–74.3) | 0.802b |
| Sex, n (%) | ||||||
| Female | 12 (13.3) | 18 (20.0) | 0.414c | 9 (14.8) | 11 (22.4) | 0.612c |
| Male | 57 (63.3) | 58 (64.4) | 34 (55.7) | 30 (61.2) | ||
| NE | 21 (23.3) | 14 (15.6) | 18 (29.5) | 8 (16.3) | ||
| T stage, n (%) | ||||||
| pT1 | 46 (51.1) | 49 (54.4) | 0.292d | 21 (34.4) | 16 (32.7) | 0.530d |
| pT2 | 13 (14.4) | 22 (24.4) | 7 (11.5) | 7 (14.3) | ||
| pT3 | 9 (10.0) | 6 (6.7) | 13 (21.3) | 17 (34.7) | ||
| pT4 | 0 (0.0) | 0 (0.0) | 0 (0.0) | 1 (2.0) | ||
| pTx | 22 (24.4) | 13 (14.4) | 20 (32.8) | 8 (16.3) | ||
| Grade, n (%) | ||||||
| G1 | 15 (16.7) | 26 (28.9) | 0.248d | 0 (0) | 0 (0) | 0.750d |
| G2 | 51 (56.7) | 48 (53.3) | 9 (14.8) | 10 (20.4) | ||
| G3 | 10 (11.1) | 9 (10.0) | 34 (55.7) | 32 (65.3) | ||
| Gx | 14 (15.6) | 7 (7.8) | 18 (29.5) | 7 (14.3) | ||
| LN metastasisa or N stage, n (%) | ||||||
| N− | 87 (96.7) | 88 (97.8) | 1.0c | 51 (83.6) | 42 (85.7) | 0.797c |
| N+ | 3 (3.3) | 2 (2.2) | 10 (16.4) | 7 (14.3) | ||
| Distant metastasisa or M stage, n (%) | ||||||
| M− | 66 (73.3) | 74 (82.2) | 0.228c | 32 (52.5) | 33 (67.3) | 1.0c |
| M+ | 2 (2.2) | 0 (0.0) | 7 (11.5) | 7 (14.3) | ||
| Mx | 22 (24.4) | 16 (17.8) | 22 (36.1) | 9 (18.4) | ||
| Locally or advanced, n (%) | ||||||
| pT1/pT2 N0 M0 | 57 (63.3) | 70 (77.8) | 0.197c | 28 (45.9) | 20 (40.8) | 0.174c |
| pT3/pT4 and/or N1 and/or M1 | 10 (11.1) | 6 (6.7) | 13 (21.3) | 11 (22.4) | ||
| NE | 23 (25.6) | 14 (15.6) | 20 (32.8) | 11 (22.4) | ||
LN, lymph node; NE, not evaluable; N−, lymph node status unknown or tumor cells absent from regional lymph nodes; N+, regional lymph node metastasis present, M−, no evidence of metastatic diseases; M+, evidence of metastatic disease.
aAt time of renal surgery.
bMann-Whitney U Test.
cFisher’s exact test.
dχ2 test.
Gas 6 Expression Pattern in pRCC Type 2
In total, Gas 6 staining was positive in 49 (44.5%) type 2 pRCC specimens. Univariate analysis showed no significant difference in age, sex, grade, tumor stage, lymph node/distant metastasis, or advanced disease for patients with Gas 6+ tumors (Table 2).
Gas 6 Expression Pattern in all pRCCs
In the total group, 139 (47.9%) of the patients had Gas 6+ tumors. Univariate analysis showed no significant difference in age, sex, T stage, N stage, M stage, grade, and local progression for patients with Gas 6+ tumors (Table 3). There were no significant differences in any of the variables between men and women.
pRCC patient’s and tumor characteristics in dependence of Gas 6 expression
| Variable . | pRCC Gas 6−, n = 151 (52.1%) . | pRCC Gas 6+, n = 139 (47.9%) . | p value . |
|---|---|---|---|
| Agea, median (IQR), years | 63.1 (56.2–69.0) | 64.0 (54.0–72.0) | 0.798b |
| Sex, n (%) | |||
| Female | 21 (13.9) | 29 (20.9) | 0.337c |
| Male | 91 (60.3) | 88 (63.3) | |
| NE | 39 (25.8) | 22 (15.8) | |
| T stage, n (%) | |||
| pT1 | 67 (44.4) | 65 (46.8) | 0.503d |
| pT2 | 20 (13.2) | 29 (20.9) | |
| pT3 | 22 (14.6) | 23 (16.5) | |
| pT4 | 0 (0.0) | 1 (0.7) | |
| pTx | 42 (27.8) | 21 (15.1) | |
| Grade, n (%) | |||
| G1 | 15 (9.9) | 26 (18.7) | 0.229d |
| G2 | 60 (39.7) | 58 (41.7) | |
| G3 | 44 (29.1) | 41 (29.5) | |
| Gx | 32 (21.2) | 14 (10.1) | |
| LN metastasisa, n (%) | |||
| GN− | 138 (91.4) | 130 (93.5) | 0.515c |
| GN+ | 13 (8.6) | 9 (6.5) | |
| Metastasisa, n (%) | |||
| M− | 98 (64.9) | 107 (77.0) | 0.607c |
| M+ | 9 (6.0) | 7 (5.0) | |
| Mx | 44 (29.1) | 25 (18.0) | |
| Locally or advanced disease, n (%) | |||
| pT1/pT2 N0 M0 | 85 (56.3) | 90 (64.7) | 1.0c |
| pT3/pT4 and/or N1 and/or M1 | 23 (15.2) | 24 (17.3) | |
| NE | 43 (28.5) | 25 (18.0) | |
| Variable . | pRCC Gas 6−, n = 151 (52.1%) . | pRCC Gas 6+, n = 139 (47.9%) . | p value . |
|---|---|---|---|
| Agea, median (IQR), years | 63.1 (56.2–69.0) | 64.0 (54.0–72.0) | 0.798b |
| Sex, n (%) | |||
| Female | 21 (13.9) | 29 (20.9) | 0.337c |
| Male | 91 (60.3) | 88 (63.3) | |
| NE | 39 (25.8) | 22 (15.8) | |
| T stage, n (%) | |||
| pT1 | 67 (44.4) | 65 (46.8) | 0.503d |
| pT2 | 20 (13.2) | 29 (20.9) | |
| pT3 | 22 (14.6) | 23 (16.5) | |
| pT4 | 0 (0.0) | 1 (0.7) | |
| pTx | 42 (27.8) | 21 (15.1) | |
| Grade, n (%) | |||
| G1 | 15 (9.9) | 26 (18.7) | 0.229d |
| G2 | 60 (39.7) | 58 (41.7) | |
| G3 | 44 (29.1) | 41 (29.5) | |
| Gx | 32 (21.2) | 14 (10.1) | |
| LN metastasisa, n (%) | |||
| GN− | 138 (91.4) | 130 (93.5) | 0.515c |
| GN+ | 13 (8.6) | 9 (6.5) | |
| Metastasisa, n (%) | |||
| M− | 98 (64.9) | 107 (77.0) | 0.607c |
| M+ | 9 (6.0) | 7 (5.0) | |
| Mx | 44 (29.1) | 25 (18.0) | |
| Locally or advanced disease, n (%) | |||
| pT1/pT2 N0 M0 | 85 (56.3) | 90 (64.7) | 1.0c |
| pT3/pT4 and/or N1 and/or M1 | 23 (15.2) | 24 (17.3) | |
| NE | 43 (28.5) | 25 (18.0) | |
NE, not evaluable; N−, lymph node status unknown or tumor cells absent from regional lymph nodes; N+, regional lymph node metastasis present; M−, no evidence of metastatic diseases; M+, evidence of metastatic disease.
aAt time of renal surgery.
bMann-Whitney U Test.
cFisher’s exact test.
dχ2 test.
Gas 6 Expression and Clinical Course in Type 1 pRCC
Median follow-up was 46.0 (IQR 25.0–80.3) months. At the time of last follow-up, 54 (60.0%) and 57 (63.3%) patients were alive, 10 (11.1%) and 16 (17.8%) patients had died, and 26 (28.9%) and 17 (18.9%) patients were lost to follow-up in the Gas 6− versus Gas 6+ subgroups, respectively (p = 0.187, χ2). Kaplan-Meier analysis disclosed a 5-year OS of 84.4% for patients with Gas 6− tumors compared to 77.8% for patients with Gas 6+ tumors in pRCC type 1 (p = 0.179, log-rank) (Fig. 2a).
a Kaplan-Meier analysis disclosed a 5-year OS of 84.4% for patients with Gas 6− tumors compared to 77.8% for patients with Gas 6+ tumors in pRCC type 1 (p = 0.179, log-rank). b Kaplan-Meier analysis disclosed a 5-year OS of 64.8% for patients with Gas 6− tumors compared to 59.9% for patients with Gas 6+ tumors in pRCC type 2 (p = 0.900, log-rank).
a Kaplan-Meier analysis disclosed a 5-year OS of 84.4% for patients with Gas 6− tumors compared to 77.8% for patients with Gas 6+ tumors in pRCC type 1 (p = 0.179, log-rank). b Kaplan-Meier analysis disclosed a 5-year OS of 64.8% for patients with Gas 6− tumors compared to 59.9% for patients with Gas 6+ tumors in pRCC type 2 (p = 0.900, log-rank).
Gas 6 Expression and Clinical Course in Type 2 pRCC
Median follow-up was 29 (IQR 18.0–69.8) months. At the time of last follow-up, 27 (44.3%) and 26 (53.1%) were alive, 15 (24.6%) and 13 (26.5%) patients had died, and 19 (31.1%) and 10 (20.4%) patients were lost to follow-up in the Gas 6− and Gas 6+ subgroups, respectively (p = 0.435, χ2). Kaplan-Meier analysis disclosed a 5-year OS of 64.8% for patients with Gas 6− tumors compared to 59.9% for patients with Gas 6+ tumors in pRCC type 2 (p = 0.900, log-rank) (Fig. 2b).
Gas 6 Expression and Clinical Course in the Total Sample
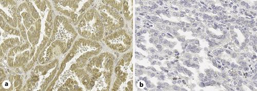
Median follow-up was 40.0 (IQR 21.0–79.0) months. At the time of last follow-up, 81 (53.6%) and 83 (59.7%) patients were alive, 25 (16.6%) and 29 (20.9%) patients had died, and 45 (29.8%) and 27 (19.4%) patients were lost to follow-up in the Gas 6− and Gas 6+ subgroups, respectively (p = 0.115, χ2). Kaplan-Meier analysis disclosed a 5-year OS of 77.2% for patients with Gas 6− tumors compared to 71.7% for patients with Gas 6+ tumors in all types of pRCC (p = 0.475, log-rank) (Fig. 3). There was no difference in OS between men and women. An example of Gas 6-positive and -negative immunohistochemical staining can be found in Fig. 4.
Kaplan-Meier analysis disclosed a 5-year OS of 77.2% for patients with Gas 6− tumors compared to 71.7% for patients with Gas 6+ tumors in all types of pRCC (p = 0.475, log-rank).
Kaplan-Meier analysis disclosed a 5-year OS of 77.2% for patients with Gas 6− tumors compared to 71.7% for patients with Gas 6+ tumors in all types of pRCC (p = 0.475, log-rank).
Immunohistochemical staining of Gas 6 in pRCC specimen. a Positive (×40 magnification). b Negative (×40 magnification).
Immunohistochemical staining of Gas 6 in pRCC specimen. a Positive (×40 magnification). b Negative (×40 magnification).
Discussion
At the moment, pRCC tumors are divided into subgroups type 1 and 2, according to morphological features. There is a discussion about rather using the WHO grading and unfavorable architecture than types 1 and 2 to predict the patients’ outcome [21]. Another experiment showed that the tumor stage was the most important predictor of survival, with type 2 pRCC showing worse outcomes but also higher tumor stages [22]. The Genitourinary Pathology Society no longer commends dividing pRCC into two subgroups but to choose therapies according to the stage and architecture of the tumors [23]. Consequently, the WHO has omitted the discrimination of these subtypes in the new edition of 2022 [24, 25]. Therefore, we analyzed the expression of Gas 6 in the total cohort and in subgroups of type 1 and 2 tumors. There were no differences between Gas 6+ and Gas 6− tumor and patient characteristics or OS, neither in one of the subgroups nor in the total cohort. There were also no differences between men and women.
In a meta-analysis of patients with ovarian cancer, high Gas 6 expression was associated with shorter disease-free survival (hazard ratio 2.88 [1.56–5.31] [3]). Koorstra et al. [26] showed that patients with Axl/Gas 6-positive tumors lived on average 6 months shorter than patients with Axl/Gas 6-negative tumors. Also, in glioma patients, high coexpression of Axl/Gas 6 was associated with shorter time to tumor progression [27]. On the other hand, in a cohort of breast cancer patients, the survival did not differ between Gas 6-positive and -negative tumors [28].
Regarding renal cancer, Gustafsson et al. [8] showed that RCC patients with higher Gas 6 or Axl expression had worse OS time. The 5-year survival rate of the 35 pRCC patients included in the study was 47%, whereas in our cohort, the overall 5-year survival was 71.7%. In another study, it was shown that Gas 6 expression was lower in pRCC than in other RCC types [10]. Bone and metastases in other regions showed higher Gas 6/Axl expression than the original tumors, whereas lung metastases showed lower levels of Gas 6/Axl expression [10]. There were differences between the RCC subtypes with regard to Gas 6/Axl expression, with lower rates for pRCC [8]. On the other hand, high expression of Gas 6/Axl is associated with an immunosuppressive microenvironment that enhances progression independent of preexisting pathways [10].
We found no association of Gas 6 expression and poorer survival in a cohort of patients with chromophobe RCC [29]. In previous studies, we assessed the prevalence of other biomarkers in pRCC patients. We found no association between survival and expression of claudin-6 [30] or cMET [31] in other investigations. Interestingly, patients with nectin-4-positive type 1 pRCC showed better survival than patients with nectin-4-negative type 1 pRCC [32]. Survival was higher in patients with PD-L2-negative pRCC (type 1 and 2) compared to PD-L2-positive pRCC [33]. These findings from our group underline the complex patterns of biomarker expression and their association with survival in pRCC.
Besides the role of Gas 6 as a prognostic marker, it can also be discussed as a target for RCC therapy. There are already some tyrosine kinase inhibitors (TKIs) that suppress the Gas 6/TAM complex, but no specific TKI is licensed yet [34]. In RCC treatment, multikinase inhibitors are already established as effective therapy options [35]. Gas 6 expression can be associated with less effectiveness of TKI treatment, as it was shown in breast cancer patients [36, 37]. The decision to use TKI therapy must be taken carefully since the suppression of Gas 6/TAM is linked to autoimmune symptoms [38]. All in all, expression of Gas 6 varies in different tumor types depending on gene regulation, so further research is needed [38].
One of the limitations of this study is limited number of cases analyzed. But since the prevalence of pRCC is relatively low, our cohort represents a reasonable group of pRCC patients. Other limitations are the methodology of IHC, the interpretation system, the use of TMAs, as well as the use of retrospective analysis. In awareness of these, we only chose representative tumor areas for TMA construction in order to address tumor heterogeneity, and we also carefully selected and established the antibody to obtain reliable staining results. Choosing the median as a cutoff is widely accepted as a scoring method, when no standardized categorization method exists. Given the lack of significant survival differences, additionally testing Gas 6 expression on a prospective cohort might not be indicated.
Conclusion
In summary, this is the first study addressing the expression and prognostic relevance of Gas 6 in a large multicentre cohort of pRCC. In our cohort, we could not find any differences in cancer and patient characteristics between Gas 6+ and Gas 6− groups. Also, the expression of Gas 6 was not associated with poorer survival. Future studies are needed to assess the role of Gas 6 in the prognosis and outcome of pRCC.
Acknowledgments
The authors would like to thank Rudolf Jung for his assistance with the Gas 6 immunohistochemistry.
Statement of Ethics
Patient sample collection was a joint collaboration of the PANZAR consortium [39‒41]. All procedures have been performed in accordance with valid ethical standards at the time and according to the 1964 Declaration of Helsinki and its later amendments [39‒41]. Informed consent was assessed prior to intervention. Details that disclose the identity of the subjects under study were omitted. Written informed consent from the patients was obtained by the participating institutions.
Conflict of Interest Statement
The authors have no conflicts of interest to declare.
Funding Sources
This work was supported by a Ferdinand Eisenberger grant of the Deutsche Gesellschaft für Urologie (German Society of Urology), ID StS1/FE-13 (Sandra Steffens). This work was supported by a grant of the Deutsche Forschungsgemeinschaft (DFG) [Grant No. ER 795/1-1, FE].
Author Contributions
Marie Mikuteit, Franziska Erlmeier, and Sandra Steffens participated in the data interpretation and drafting of the manuscript. Marie Mikuteit and Sandra Steffens performed the statistical analysis. Edwin Herrmann took great part in starting the collective material for this study and clinical data acquisition. Arndt Hartmann, Abbas Agaimy, Franziska Erlmeier, Christine Stöhr, and Iris Polifka carried out pathological data acquisition. Christine Stöhr, Iris Polifka, and Arndt Hartmann constructed the tissue microarrays. Franziska Erlmeier carried out the IHC evaluation. Stefanie Zschäbitz, Lutz Trojan, Philipp Ströbel, Frank Becker, Christian Wülfing, Peter Barth, Michael Stöckle, Michael Staehler, Christian Stief, Axel Haferkamp, Markus Hohenfellner, Stefan Duensing, Stephan Macher-Göppinger, Bernd Wullich, Joachim Noldus, Walburgis Brenner, Frederik Roos, Bernhard Walte, Wolfgang Otto, Maximilian Burger, Maximilian Erlmeier, and Andres Jan Schrader participated in collecting the material and clinical data acquisition. Sandra Steffens coordinated the project. Marie Mikuteit, Stefanie Zschäbitz, Christine Stöhr, Edwin Herrmann, Iris Polifka, Abbas Agaimy, Lutz Trojan, Philipp Ströbel, Frank Becker, Christian Wülfing, Peter Barth, Michael Stöckle, Michael Staehler, Christian Stief, Axel Haferkamp, Markus Hohenfellner, Stefan Duensing, Stephan Macher-Göppinger, Bernd Wullich, Joachim Noldus, Walburgis Brenner, Frederik Roos, Bernhard Walter, Wolfgang Otto, Maximilian Burger, Maximilian Erlmeier, Andres Jan Schrader, Arndt Hartmann, Franziska Erlmeier, and Sandra Steffens contributed to data interpretation, revised the manuscript for important intellectual content, and read and approved the final manuscript.
Data Availability Statement
All data generated or analyzed during this study are included in this article. Further inquiries can be directed to the corresponding author.
References
Additional information
F.E. and S.S. contributed equally to this work.




