Abstract
Background: This prospective single-arm study is designed to compare in parallel 68Ga-PSMA PET/TRUS (transrectal or transperineal) fusion biopsy (“experimental test”) with multiparametric MRI (mpMRI)/TRUS fusion prostate biopsy (“standard test”) in men with a high suspicion of prostate cancer (PCa) after at least one negative biopsy. The primary objective was to evaluate the diagnostic performance of 68Ga-PSMA PET/TRUS fusion prostate biopsy in comparison to mpMRI/TRUS fusion prostate biopsy analyzed in parallel. Secondarily, we aimed to determine the relationship between the “experimental test” and the histopathological characteristics of the specimen, along with the clinical utility of the “experimental test” compared to the “standard test.” Summary: To test the superiority of 68Ga-PSMA PET/CT compared to mpMRI, we will enroll a minimum cohort of 128 patients. Inclusion criteria comprise: age >18 years; blood PSA level >4.0 ng/mL; free-to-total PSA ratio <20%; progressive rise of PSA levels in two consecutive blood samples despite antibiotics; serum blood tests suspicious for PCa; at least one previous negative biopsy; ASAP and/or high-grade PIN; negative digital rectal examination. All eligible patients will undergo 68Ga-PSMA PET/CT and mpMRI scans within 1 month’s distance from each other, followed by biopsy session to be completed within 1 month’s distance. Targeted TRUS fusion needle biopsy will be performed for all lesions detected with PET and mpMRI. The total duration of the study is 36 months.Key Messages: By comparing the “experimental test” and the “standard test” in parallel, we will be able to determine the superior diagnostic performance of 68Ga-PSMA PET/CT over mpMRI in detecting PCa, and in particular clinically significant PCa, in the specific cohort of patients with a high suspicion of PCa who are candidates to re-biopsy. The clinical impact of the “experimental test” will be subsequently analyzed in terms of the number of prostate biopsies that could be spared, time-consuming, patient friendliness, and cost-effectiveness.
Introduction
Multiparametric MRI (mpMRI) has become the preferred method for detecting prostate cancer (PCa) after initial negative random biopsy and is currently incorporated into national and international guidelines. Nevertheless, the modality presents some limitations, i.e., absolute and relative contraindications, and cannot be performed in claustrophobic men. On the other hand, despite the introduction of specific criteria for Prostate Imaging Reporting and Data System (PI-RADS) v.1 and v.2 [1, 2], mpMRI may still present with equivocal findings and miss clinically significant lesions by underestimating grade and extent [3].
For an accurate detection of PCa, the goal of image-guided biopsy is to be intended three-fold: (1) it must discriminate men with from men without cancer; (2) the test should accurately differentiate clinically significant disease from indolent lesions; and (3) it should be able to assess disease burden using the most efficient method possible to guide treatment. With this regards, PSMA PET/CT may represent the most promising alternative to mpMRI for identification and risk stratification of PCa. At first, we know that PSMA expression in malignant cell membrane is 10–1,000-fold that of normal cells. Second, this expression increases with PCa stage and grade [4, 5]. Last, but not least, being a total body imaging modality, PSMA PET/CT can quantify disease extent thanks to its ability to diagnose and stage malignancy in one step.
During our first preliminary experience [6], we proved that the integration of PET/TRUS fusion-guided prostate biopsy was technically feasible. At the time, we utilized radiolabeled choline PET for the detection of PCa lesions in the specific subset of patients with persistently elevated PSA and negative mpMRI after a previous negative biopsy [7, 8]. Later on, we designed our first prospective study investigating the role of PSMA PET/CT for primary detection of PCa in the same subset of patients [9, 10]. The primary endpoint of this study was to evaluate the diagnostic performance of PSMA PET/CT in determining the presence of PCa. The secondary endpoint was to determine the optimal cut-off values of PSMA uptake for the identification of clinically significant PCa (Gleason score; GS >=7). Sensitivities, specificities, and confidence intervals (CIs) were calculated and compared with histopathology. Receiver operating characteristic (ROC) analysis was applied to determine cut-off values for SUVmax and ratio of SUVmax to background SUV (SUVratio).
Between January 2017 and December 2018, we prospectively enrolled 97 patients (median age 74.7 years) with persistently elevated PSA and/or PHI (prostate health index), negative digital rectal examination, and previous negative biopsy [11]. Thanks to the implementation of optimal cut-off points on 68Ga-PSMA PET/CT obtained for SUVmax (>5.4) and SUVratio (>2.2), we could identify clinically significant PCa with an accuracy of 81% and 90%, respectively. In parallel, we tested the clinical utility of PSMA PET/CT in comparison to mpMRI in a subgroup of 40 patients with equivocal findings and/or negative biopsy [11, 12]. In our cohort, the diagnostic accuracy for mpMRI was 48% (sensitivity 81%, specificity 26%, positive predictive value [PPV] 41%, NPV 68%) with PI-RADS ≥3 as a cut-off for positivity. The accuracy slightly increased to 57% for PI-RADS ≥4 as the cut-off point (sensitivity 38%, specificity 70%, PPV 44%, NPV 64%). On the other hand, 68Ga-PSMA PET/CT had an accuracy of 84%, a sensitivity of 60%, a specificity of 97%, a PPV of 92%, and an NPV of 81% for both SUVmax and SUVratio cut-offs. Overall, 68Ga-PSMA PET/CT could identify 25% of patients with GS ≥7 missed by previous mpMRI. Similar encouraging results were obtained when comparing 68Ga-PSMA PET/CT with micro-ultrasound [13]. Based on these preliminary data, we proved the capacity of PSMA PET/CT to depict PCa in patients with negative findings at mpMRI, making it possible to contribute for the optimization of the diagnostic and/or therapeutic algorithm of PCa patients.
Patients and Methods
General Design
This is prospective single-arm case-control imaging trial designed to compare in parallel PSMA PET/TRUS (transrectal or transperineal) fusion biopsy (“experimental test”) with mpMRI/TRUS fusion prostate biopsy (“standard test”) in men suspected for PCa after at least one negative biopsy. The trial is approved by the IRCCS Humanitas Research Hospital Ethics Committee (ID 3131). The study has been registered at ClinicalTrials.gov (NCT05297162).
Objectives of the Study
The main purpose of the present study was to prospectively investigate the hypothesis that prostate biopsy using PSMA PET/CT images may have clinical impact (clinical utility) when compared with TRUS-mpMRI fusion biopsy in patients with a high suspicion of PCa and a previously negative biopsy. More specifically, the aims of the study are as follows.
Primary Objective
The primary objective was to evaluate the diagnostic performance of PSMA PET/TRUS fusion prostate biopsy in determining the presence of PCa in comparison to mpMRI/TRUS fusion prostate biopsy analyzed in parallel in the same subset of patients.
Secondary Objective
The secondary objective was to determine the relationship between the “experimental test” and the histopathological characteristics of the specimen in order to validate optimal cut-off points able to detect intraprostatic malignancy and differentiate clinically relevant PCa lesions.
Tertiary Objective
The tertiary objective was to determine the clinical utility of the “experimental test” compared to the “standard test.”
Study Outline
The total duration of the project is 36 months. We expect to enroll the first patient within 1 month after study activation and complete recruitment within 30 months. Completion of all study analyses on biological materials and experimental imaging is expected within 32 months. The last period is planned for data analysis, biostatistics, and manuscript preparation.
All patients eligible according to inclusion criteria (Table 1) and having signed the informed consent will undergo 68Ga-PSMA PET/CT and mpMRI scans within 1 month distance from each. Dedicated software for image visualization will be used to interpret and quantify 68Ga-PSMA PET/CT SUVmax and SUVratio. Images will be analyzed by an expert nuclear physician, who will proceed to the definition of the suspicious areas candidate to biopsy. mpMRI will be evaluated by an expert radiologist using the following phases: morphological, diffusion-weighted imaging, and spectroscopy. Reading criteria for mpMRI will be determined based on PI-RADS, v.2 [2, 14]. Target delineation on PSMA PET/CT and mpMRI will be performed as previously described [10, 11, 15].
Biopsy session will be completed within 1 month from 68Ga-PSMA PET/CT and mpMRI scans. Targeted TRUS fusion needle biopsy will be performed for all lesions detected with PET/CT and mpMRI; a minimum number of 2 core biopsies will be granted per lesion. A subsequent randomized biopsy sampling consisting of 12 samples will be performed from the peripheral region of the prostate. The biopsy cores will then be evaluated by an expert pathologist on PCa detection.
After the biopsies, the patient will be contacted for the delivery of the histological examination. Should the histology prove positive, patients should be evaluated by the referral urologist in order to set up the next therapeutic procedure. Clinical/laboratory monitoring will be performed in all cases.
During the whole duration of the trial, the medical review team will regularly monitor the safety and feasibility of this study (Table 2, 3). The medical review team will also check the proportion of patients who will not access prostate biopsy for whatever reason.
Experimental Design 1
In order to compare the diagnostic performance of PSMA PET/CT with mMRI, the two imaging modalities will be performed head to head in the same cohort of patients fulfilling the inclusion criteria. Each ROI identified on PSMA PET/CT or mpMRI will undergo target fusion biopsy. In case no ROIs are found in either one or both scans, a standard 12-sample biopsy will be performed in order to compute the NPV. By taking as reference standard for true outcome the histopathological results at biopsy, for each imaging procedure, we will calculate sensitivity, specificity, NPV, PPV, and accuracy.
Experimental Design 2
To determine the relationship between the “experimental test” and the clinical-pathological characteristics of the specimen, a lesion-based analysis will be performed. We will map each sample obtained from fusion biopsy in the prostatic gland and the corresponding semi-quantitative parameters on PET, i.e., SUVmax and SUVratio to background, will be correlated to the tumor Gleason score or, in case of benign lesions, to the histopathological diagnosis. On ROC analysis, these data will be used to define and validate the optimal cut-off points able to detect the presence of malignancy (any Gleason score) and differentiate clinically relevant PCa (GS >=7). Also, a patient-based analysis will be performed to correlate imaging findings with other predictors of PCa aggressiveness obtained from clinical or laboratoristic biomarkers.
Experimental Design 3
In order to determine the clinical utility of the “experimental test” compared to the “standard test,” we will quantify the number of prostate biopsies that could be spared or gained if the “experimental test” were used in the prostate biopsy decision-making. Subsequently, the two imaging modalities (i.e., PSMA PET/CT and mpMRI) will be compared by time consumption (procedure/reading and contouring), patient friendliness, and cost-effectiveness.
Trial-Related Imaging Protocols
68Ga-PSMA PET/CT Imaging
68Ga-PSMA PET/CT will be performed in fasting patients (min 4 h) using a dedicated PET/CT system (Discovery 690; GE Healthcare, Milwaukee, WI). A mean dose of 146.27 ± 19.5 MBq will be administered intravenously. An attenuation-corrected whole-body scan (skull base to mid-thighs) in 3-dimensional mode (emission time 2 min per bed position with an axial field-of-view of 15.6 cm) starting 60 min after tracer injection will be acquired. A dedicated reconstruction of the pelvis will be used for PSMA PET/TRUS fusion.
mpMRI Protocol
The procedure will be carried out according to the ESUR guidelines [16, 17] on a 3-T system (Siemens Healthcare, Erlangen, Germany) using a 6-channel body matrix and a spine coil. The imaging protocol comprises triplanar T2-weighted turbo spin-echo sequences, diffusion-weighted imaging in transverse plane, and DCE after injection of 0.1 mmol/kg body weight gadoterate meglumine at a rate of 3 mL/s (TWIST, temporal resolution = 4.2 s).
PET/mpMRI/TRUS Fusion Biopsy
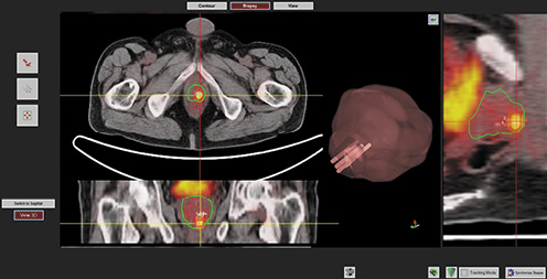
The Bio-Jet fusion system and software (D&K Technologies, Barum, Germany) will be used. The prostate profile and ROIs will be drawn on PSMA PET/CT and mpMRI and fused in real time with the TRUS image stack during biopsy. Biopsies, transrectal or transperineal according to lesion site, will be performed with patients in the dorsal lithotomy position, under antibiotic prophylaxis and local anesthesia, using 3D triplane transrectal ultrasound system (BK Medical, Analogic Ultrasound Group, Pro Focus, Transducer 8818, 6/9 MHz). Biopsy cores will be numbered according to ROI number and topography. Specimens will be processed and evaluated by a genitourinary pathologist. Tumor foci will be quantified and graded according to the ISUP consensus conference on Gleason grading (Fig. 1).
Software fusion biopsy of the ROI delineating the lesion positive at 68Ga-PSMA PET/CT; the green line delineates the prostate gland and the red line the contoured target lesion. The number of cores and their corresponding tumor sampling are defined in the three-dimensional volume-rendering panel.
Software fusion biopsy of the ROI delineating the lesion positive at 68Ga-PSMA PET/CT; the green line delineates the prostate gland and the red line the contoured target lesion. The number of cores and their corresponding tumor sampling are defined in the three-dimensional volume-rendering panel.
Statistical Design
Sample Size
We hypothesize a detection rate for mpMRI of 80% and a detection rate for PSMA PET/CT of 90%. By considering an alpha error of 5% and 80% statistical power, considering a 40% correlation between the two tests, we need 128 patients to prove the superiority of PSMA PET/CT compared to mpMRI in detecting PCa lesions. The total number of patients to be registered might be increased by 10% taking into account screening failure, impossibility to perform biopsy, and/or study withdrawal. If at the end of the study, we are able to reject the null hypothesis that the correlation is null or moderate (i.e., meaning that the lower limit of the 95% CI [one sided] for the correlation is above 0.5), then the imaging biomarker will be considered as promising and needs further investigation and validation. No formal interim analysis is planned; however, we have considered analyzing and reporting preliminary data after the first 18 months of trial initiation (Fig. 2).
Statistical Analysis
All measurements (primary and secondary endpoints) will be continuous variables. Descriptive statistics will be used to summarize the distribution of semi-quantitative parameters on PSMA PET. Diagnostic performance will be assessed for each patient and compared with histopathology. In case of normality of the variables, the Pearson correlation coefficient will be reported; if the variables are not normally distributed or the relationship between the variables is not linear, then the parametric Spearman rank correlation coefficient will be reported. The correlation coefficient will be described with the one-sided 95% CI and tested as a one-sided comparison to the null hypothesis (H0: p ≤ 0.5). ROC curves will be calculated as proposed by Obuchowski [18]. Differences between groups will be compared by the t test or the Wilcoxon test, when appropriate, or by means of one-way analysis of variance. Significance will be set at p < 0.05.
Discussion
Early identification of PCa typically allows for a better implementation of treatment options, resulting in improved clinical outcomes, including increased overall survival. However, to date, a reliable and minimally invasive test for risk assessment and early diagnosis of clinically significant PCa is lacking. This is what emerges from the recent publication from Kouspou et al. in Nature Reviews Urology [19]. According to the EAU (European Association of Urology) guidelines, updated in 2022 [20], mpMRI is the method of choice for imaging patients with clinical-laboratory suspicion of PCa, with or without previous biopsy. However, as recent meta-analyses have shown, mpMRI-guided prostate biopsy can still misdiagnose 20–25% of patients with PCa [21, 22]. Furthermore, if we evaluate the PPV of mpMRI in the diagnosis of clinically significant carcinomas, the overall rate does not exceed 40% [23].
Among the various diagnostic imaging modalities, PSMA PET/CT represents the imaging method of greatest scientific interest. From 2018 to today, the role of PSMA PET/CT has been growing, significantly impacting the diagnostic and therapeutic scenario of PCa. In fact, the method has entered the recommendations of the EAU guidelines [20] and has been approved by the FDA (Food and Drug Administration) and by the EMA (European Medicines Agency) [24, 25] for restaging PCa patients after biochemical relapse. In addition, the results obtained from the “proPSMA” randomized multicenter study, published in 2020 [7], are pushing the scientific community toward the introduction of PSMA PET/CT at an earlier stage, i.e., in the pretreatment staging of cancer patients. Specifically, the authors support the use of 68Ga-PSMA PET/CT in presurgery and/or radiotherapy staging of patients diagnosed with high-risk PCa, documenting an accuracy of 92% or 27% higher than the accuracy of conventional imaging methods (65%; p < 0.0001). Thanks to the improved diagnostic accuracy of PSMA PET/CT, the authors report a direct impact on the patient’s therapeutic management (27% for PET/CT vs. 5% for conventional imaging), as well as an economic benefit for the health system, as specified by the cost-effectiveness sub-analysis [8]. Even more reinforcing the potential value of PSMA PET/CT are the results of another recently published prospective multicenter study “PRIMARY,” which reports a significant additional value of PSMA PET/CT compared to mpMRI in the cohort of biopsy-naïve patients with suspected neoplasia [26]. Therein, the combination of PSMA PET/CT with MRI improved the overall sensitivity (97 vs. 83%, p < 0.001) and the NPV compared with MRI alone (91 vs. 72%, test ratio = 1.27 (1.11–1.39), p < 0.001), potentially avoiding an unnecessary prostate biopsy in 19% of the cases (38% 38 of PI-RADS 2/3).
Differently from the PRIMARY trial, the current protocol proposed by our group is concentrated in the sole cohort of patients with a previous negative biopsy, who are candidates to re-biopsy. Given the lack of dedicated studies investigating in parallel PSMA PET/CT and mpMRI in this same setting of patients, we expect to confirm the superior diagnostic accuracy of the “experimental test” initially depicted by our team in the preliminary investigations [6, 9‒13, 15, 27]. Thanks to the validation of optimal cut-off points for SUVmax and SUVratio, we also expect to increase confidence in the detection of clinically significant PCa. PSMA PET/CT in this context is supposedly less time-consuming and more patient friendly, and in comparison to mpMRI, it is expected to spare more unnecessary prostate biopsies and to be more cost-effective.
Statement of Ethics
This study protocol was reviewed and approved by Humanitas Ethics Committee, approval number 3131. Written informed consent is obtained from all participants to the study.
Conflict of Interest Statement
Egesta Lopci reports receiving grants from Fondazione AIRC (Associazione Italiana per la Ricerca sul Cancro) and from the Italian Ministry of Health and faculty remuneration from ESMIT (European School of Multimodality Imaging & Therapy) and the MI&T congress. Arturo Chiti received speaker’s honoraria from Advanced Accelerator Applications, General Electric Healthcare, Sirtex Medical Europe, AmGen Europe and travel grants from General Electric Healthcare and Sirtex Medical Europe; he is a member of Blue Earth Diagnostics’ and Advanced Accelerator Applications’ advisory boards and received scientific support, in terms of a 3-year Ph.D. fellowship, from the Sanofi Genzyme. All the other authors have declared no conflicts of interest.
Funding Sources
The study protocol herein presented in financially supported by the Italian Ministry of Health (Ministero della Salute) with the Grant GR-2018-12366240 assigned to Egesta Lopci.
Author Contributions
The concept for the paper was conceived by Egesta Lopci, Massimo Lazzeri, and Giovanni Lughezzani with substantial input from Piergiuseppe Colombo, Paolo Casale, Nicolo M. Buffi, Alberto Saita, Roberto Peschechera, Rodolfo Hurle, Katia Marzo, Lorenzo Leonardi, Emanuela Morenghi, Luca Balzarini, Luca Disconzi, Giorgio Guazzoni, and Arturo Chiti. Egesta Lopci wrote the initial draft of the manuscript and revised the text following the suggestions of Massimo Lazzeri, Giovanni Lughezzani, Piergiuseppe Colombo, Paolo Casale, Nicolo M. Buffi, Alberto Saita, Roberto Peschechera, Rodolfo Hurle, Katia Marzo, Lorenzo Leonardi, Emanuela Morenghi, Luca Balzarini, Luca Disconzi, Giorgio Guazzoni, and Arturo Chiti, who approved the manuscript.
Data Availability Statement
The data derived from the study will be available on an open repository upon motivated request. All data analyzed during this study are included in this article. Further inquiries can be directed to the corresponding author.




