Abstract
Introduction: Aquablation and holmium laser enucleation of the prostate (HoLEP) have evolved as established therapeutic options for men with benign prostatic obstruction (BPO). We sought to compare the rates of incidental prostate cancer (iPCa) after aquablation and HoLEP. Methods: At our center, between January 2020 and November 2022, 317 men underwent aquablation, and 979 men underwent HoLEP for BPO. Histopathological assessment of resected tissue was conducted in all cases. If iPCa was detected, the Gleason score and percentage of affected tissue were assessed. Differences in important predictive factors for prostate cancer between study groups were accounted for by additional matched pairs analysis (with matching on age ± 1 year; PSA ± 0.5 ng/mL; and prostate volume ± 5 mL). Results: Histopathology revealed iPCas in 60 patients (4.6%): 59 (6.03%) after HoLEP and 1 (0.3%) after aquablation (p = 0.001). Of 60 of incidental cancers, 11 had a Gleason score ≥7 (aquablation: 1/1 [100%]; HoLEP: 10/59 [16.9%]). The aquablation and HoLEP study groups differed in patient age, preoperative PSA, and prostate volume. Therefore, matched pairs analysis (aquablation: 132 patients; HoLEP: 132 patients) was conducted to improve comparability. Also after the matching procedure, significantly fewer iPCas were diagnosed after aquablation than HoLEP (aquablation: 0 [0%]; HoLEP: 6 [4.5%]; p = 0.015). Conclusion: Significantly fewer iPCas were identified after aquablation than HoLEP procedures. Histopathologic assessment of tissue after aquablation is feasible and may lead to the diagnosis of clinically significant iPCa. Therefore, histopathologic examination of the aquablation resective tissue should not be omitted.
Introduction
Holmium laser enucleation of the prostate (HoLEP) and aquablation are well-established ablative procedures for the treatment of benign prostatic obstruction (BPO) [1‒6]. HoLEP may be preferred for patients with a large prostate volume. In contrast, aquablation may have advantages in respect to urinary sphincter protection, learning curve, and preservation of antegrade ejaculation [6, 7].
Before being scheduled for BPO surgery, most patients undergo diagnostic processes to exclude prostate carcinoma, particularly if they are candidates for radical prostatectomy. This process usually comprises prostate-specific antigen (PSA) testing, digital rectal examination, family history, and if indicated multiparametric MRI of the prostate and/or prostate biopsy [8]. After HoLEP or aquablation, the resected material is generally sent for histopathological analysis.
The term incidental prostate cancer (iPCa) describes cancers found on histopathological analysis of the resected material during an ablative surgical procedure for BPO in patients without preoperative suspicion for clinically significant prostate cancer [9]. Although the incidence of iPCa has waned in the era of serial PSA testing, multiparametric MRI of the prostate and/or subsequent prostate biopsies, iPCa continues to be diagnosed regularly [10‒13].
During HoLEP, the ablated tissue is usually morcellated and evacuated with a suction device. iPCa rates between 5.6% and 23.3% have been reported for HoLEP [13‒15]. In contrast, aquablation uses a high-pressure water jet to remove the obstructing tissue. To date, no rates of iPCa have been published for aquablation, and some authors have suggested that the histologic value of resected tissue after aquablation might be negligible [16]. In this study, we sought to retrospectively establish the frequencies and risk factors for iPCa of patients undergoing aquablation versus HoLEP at our institution.
Materials and Methods
Study Design
All patients who underwent HoLEP or aquablation between January 2020 and November 2022 at our institution were included. The vote of the institutional Ethics Committee (Witten/Herdecke University, No. 234/2019) had been obtained before the start of the study, and every patient had signed the declaration of consent for retrospective study.
The choice of surgical technique had been discussed with each patient before the procedure, and the final decision had been left to the patient after informed consent was obtained. Preoperative PSA testing was performed on every patient. If indicated, preoperative multiparametric MRI and/or prostate biopsy were advised during the preoperative workup.
Surgery was performed by two surgeons (L.P. and B.U.) for HoLEP or three surgeons for aquablation (S.G., L.P. and B.U.). Aquablation was carried out using the Aquabeam system (PROCEPT BioRobotics, Redwood City, CA, USA). After robot-assisted waterjet resection of the obstructing prostate tissue, bipolar cauterization and resection of the fluffy tissue were performed as previously described [17]. All sludge from the aquablation filter and tissue resected with the bipolar sling were sent for histological workup.
HoLEP was performed as previously described [3, 18]. After enucleation, morcellation of the resected tissue was performed, and the morcellated material was suctioned into a filter system (Richard Wolf GmbH, Knittlingen, Germany) and collected for histopathological analysis.
Histopathological assessment was then performed at our histopathological institute (C.P. and S.P.) through hematoxylin/eosin staining and periodic acid-Schiff reaction. If necessary, immunohistochemistry was performed to enable further differentiation.
Statistical Analysis
To assess patient characteristics and outcome evaluation, we collected the following clinical parameters: patient age (years), preoperative prostate volume (transrectal sonography; cc), total serum PSA (ng/mL), free PSA (ng/mL), PSA density (ng/ml/cc), history of prior prostate biopsy, intake of 5-alpha-reductase inhibitors (5-ARIs), arterial hypertension, and intake of antiplatelet medication. The pathological criteria included the presence of iPCa, pT stage, and the Gleason score.
Because of differences between the HoLEP and aquablation groups, we performed two separate analyses (Fig. 1). We first compared the total study groups and subsequently performed a matched pairs analysis. Matched pairs were selected with respect to patient age, preoperative PSA, and prostate volume – parameters that closely correlate with iPCa detection rates [13, 14, 19, 20]. Matching was performed with a computer program (SAS® 9.4) on the basis of the following clearly defined limits: age ± 1 year; PSA ± 0.5 ng/mL; and prostate volume ± 5 mL.
Preoperative characteristics and histopathological outcomes were compared between surgical techniques. Continuous variables are reported as mean (standard deviation) or median (interquartile range), and categorical variables are reported as absolute numbers and percentages. The normal distribution of continuous variables was verified with the Shapiro-Wilk test. If the hypothesis of normal distribution was not rejected (p value ≥0.1), comparisons of two groups were performed with t tests. If the hypothesis of normal distribution was rejected, the Mann-Whitney U test was used. Fisher’s exact test was used to compare the frequency distributions of the categorical variables. A two-sided p value of <0.05 was considered statistically significant. Statistical analyses and matching were performed in SAS® 9.4 (SAS Institute, Cary, NC, USA).
Results
A total of 1,304 patients with either HoLEP or aquablation were identified during retrospective analysis of the study period from January 2020 until November 2022. Eight patients were then excluded from analysis because they had undergone surgery with a known diagnosis of cancer of the prostate (all HoLEP; Fig. 1).
All 1,296 remaining patients had been treated under the diagnosis of benign disease (BPO) with either HoLEP (n = 979) or aquablation (n = 317). Among all 1,296 patients, histopathology revealed 60 diagnoses of iPCa (4.6%), 59 (6.03%) after HoLEP, and one diagnosis of iPCa (0.3%) after aquablation (p = 0.001).
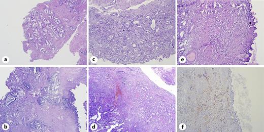
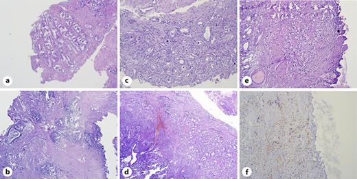
The Gleason score was 3 + 3 = 6 in 81.7% (49/60) and >7 in 18.3% (11/60) of the patients. A pTa stage (cancer in less than 5% of the material) was observed in 78.3% of the patients (47/60). A pT stage ≥pT1b was observed in 20.3% (12/59) of the patients with iPCa who underwent HoLEP and in the one patient with iPCa who underwent aquablation (1/1, 100%) (Table 1; Fig. 2).
The aquablation and HoLEP study groups significantly differed with respect to patient age (aquablation: 63.67 y; HoLEP 71.5 y; p = 0.001), PSA (aquablation: 4.53 ng/mL; HoLEP: 8.26 ng/mL; p = 0.001), and prostate volume (aquablation: 60.14 mL; HoLEP: 89.83 mL; p = 0.001) (Table 1). To investigate whether the results of this study would persist in a comparison of similar patient groups, we additionally performed matched pairs analysis. The matched pairs were selected with statistical software; 264 patients (132 receiving aquablation and 132 receiving HoLEP) were included in the matched pairs analysis (Fig. 1).
Testing of the quality of the matching procedure indicated no statistically significant differences in patient age (aquablation: 67.14 y; HoLEP: 67.2 y; p = 0.85), preoperative PSA (aquablation: 3.65 ng/mL; HoLEP: 3.65 ng/mL; p = 0.97), and prostate volume (aquablation: 63.64 mL; HoLEP: 63.97 mL; p = 0.83), as nearly identical matching parameters were obtained (Table 2). In addition, we found no significant differences between matched pair groups regarding the history of previous prostate biopsies, arterial hypertension, and the use of 5-ARIs or antiplatelet agents (Table 2).
When comparing the groups (aquablation vs. HoLEP) of matched pairs, we found very similar results to the previous comparison of the total (unmatched) groups. In matched pairs analysis, significantly lower iPCa rates were observed in the aquablation group than the HoLEP group (p = 0.015), because no iPCa was found in the aquablation group, and 6 cases of iPCa were found in the HoLEP group (4.5%) (Table 2). All iPCa cases had Gleason scores of 6, and 5/6 (83.3%) had a T stage of pT1a.
Discussion
Surgical therapy for BPO is expected to significantly increase worldwide, along with rising life expectancy and growing accessibility to surgical options. HoLEP has gained prominence predominantly in men with large prostate glands, as an alternative to open prostatectomy [3, 18, 21]. In contrast, aquablation has been established in recent years for patients who wish to preserve their antegrade ejaculation, and has been shown to have a favorable learning curve and good risk profile. Functional outcomes such as IPSS reduction and improvement in peak urinary flow rates have shown comparable and sometimes better results for aquablation than transurethral resection of the prostate (TUR-P) at 5 years after intervention [7, 22].
By definition, iPCa is prostate cancer diagnosed through the histopathological workup of the tissue collected from any resective procedure to treat BPO [14, 15, 23]. In this study, we present what is, to our knowledge, the first evaluation of iPCa rates determined from the material resected and examined after aquablation, as well as the first comparison of aquablation versus HoLEP with respect to iPCa.
Most patients undergo diagnostic processes to exclude the presence of prostate carcinoma before BPO surgery, particularly if they are potential candidates for radical prostatectomy. These processes may comprise PSA testing, digital rectal examination, family history, multiparametric MRI of the prostate (if necessary), and prostate biopsy (if indicated) [8].
The incidence of prostate cancer on histopathological workup after HoLEP has been widely studied [12, 13, 15, 24‒28]. In those studies, HoLEP has usually been compared with other techniques, such as open prostatectomy or TUR-P. Rosenhammer et al. have demonstrated that HoLEP achieves similar detection rates to open prostatectomy and even better detection rates than TUR-P [15, 28]. In 2015, Elkoushy et al. [14] reported an iPCa rate of 5.6%, whereas Rosenhammer et al. have reported rates of 23.3% in their matched pairs analysis comparing HoLEP with bipolar TUR-P [15]. Most other studies have found incidence rates intermediate between these values, as reviewed by Yilmaz et al. [13] in 2022.
In our study, we found an overall detection rate of iPCa for HoLEP of 6% and a rate of 4.5% in the matched pairs analysis, respectively. Moreover, 79.6% had stage pT1a, and 83.1% had a Gleason score of 6. These findings are in line with those of the studies described above and demonstrate adequate preoperative selection of our patients.
To our knowledge, no study has as yet reported iPCa rates after aquablation. Muellhaupt et al. [16] have recently found that only 0.43% of the resected material after aquablation can be evaluated histopathologically, and only 4.06% of the prostate volume measured preoperatively can be assessed. These values were significantly lower than those in the comparison group (22.86 and 32.5%, respectively) receiving TUR-P. The authors described that the severe mechanical destruction, fragmentation, and alteration of the tissue ablated by the waterjet restrict histopathologic assessment.
In our study, we found an overall iPCa rate of 0.3% after aquablation, and only one histopathologic evaluation resulted in a diagnosis of iPCa. That patient, a 60-year-old man, had PSA-negative prostate carcinoma with a Gleason score of 8 = 4 + 4 (PSA 3.06 ng/mL; prostate volume 40 mL) that had already metastasized at the time of diagnosis.
The rate of iPCa was significantly lower in the aquablation group than the HoLEP group (p = 0.001; Table 1). This finding persisted in an additional matched pairs analysis (with matching on age ± 1 year; PSA ± 0.5 ng/mL; and prostate volume ± 5 mL; p = 0.015; Table 2). The quality of our matching procedure was verified by the nearly identical baseline characteristics, such as prostate volume, PSA, and age, as well as other characteristics such as preoperative biopsies and the use of 5-ARIs (Table 2).
The significantly lower rate of iPCa in the aquablation group might have been partly caused by diminished evaluability of the histological material. In addition, aquablation is generally much more conservative than HoLEP in respect to adenoma resection. In aquablation, the settings are often adjusted so that the resection does not reach the surgical capsule (peripheral zone, central zone, and anterior fibromuscular stroma). Because prostate cancers most frequently grow in the peripheral zone [29, 30], aquablation effects might in many cases not reach as deep as HoLEP to resect tumor material from the peripheral zone.
The lower probability of detection of iPCa after aquablation would not be considered a major clinical disadvantage of this method, because the clinical consequences of iPCa diagnosis are often limited. Importantly, only a low percentage of patients undergoing HoLEP in our study had a Gleason score ≥7 (10/979, 1.02%) and a T stage >pT1a (12/979, 1.22%) – criteria that might suggest a need for further prostate cancer treatment.
In this context, Tominaga et al. [25] have examined 5-year survival rates and progression-free survival after diagnosis of iPCa after HoLEP. Whereas 84% of the patients had low-risk carcinoma, with a Gleason score of 6, 100% rates of survival and progression-free survival were observed. In contrast, in a study by Nunez et al. [31] 21.4% of patients with pT1b iPCa required additional therapy because of a postoperative elevation in PSA levels. Elkoushy et al. [32] have concluded that low-grade iPCas are candidates for active surveillance/watchful waiting, because only 11.7% needed further treatment in their study. Active surveillance or watchful waiting was also the treatment of choice after diagnosis of pT1a, Gleason 6 iPCa in our patients.
Our findings indicate that aquablation is less effective than HoLEP in detecting low-risk and low-stage prostate cancers, which would probably be managed with active surveillance. However, our findings suggest that aquablation may rarely reveal prostate cancer requiring further treatment. Therefore, we believe that routine histological analysis of aquablation material should be advocated for. Robot-assisted prostatectomy and radiation therapy have been demonstrated to be further curative therapeutic options after the diagnosis of locally confined clinically significant PCa after HoLEP [33‒35]. Similar findings have not been demonstrated for aquablation, but because the resection is more conservative with aquablation, there should be no restrictions as compared to HoLEP.
Limitations
Several limitations should be considered in evaluating our study results. First, this study was a retrospective single-center study with less evidence than a randomized trial. The incidence of iPCa depends, among other factors, on preoperative selection (PSA, use of multiparametric MRI, prostate biopsies). The differences between study groups regarding important predictive factors for prostate cancer were accounted for through matched pairs analysis. Furthermore, oncologic follow-up information is not available. More data from further prospective randomized trials are needed to investigate whether the rate of iPCa is lower after aquablation than after HoLEP.
Conclusion
In this study, we found significantly less iPCa after aquablation than after HoLEP. Aquablation is less effective than HoLEP in detecting low-risk and low-stage prostate cancers, but it can rarely detect high-grade and advanced prostate cancer. Although the incidence of iPCa is low, we recommend that pathological examination should be performed after aquablation.
Statement of Ethics
Every patient had given written informed consent for participation in this study. The study was conducted in accordance with the World Medical Association and Declaration of Helsinki. The study protocol was reviewed and approved by the institutional Ethics Committee of Witten/Herdecke University, approval number 234/2019.
Conflict of Interest Statement
The authors declare to have no conflicts of interest.
Funding Sources
There was no funding for this study.
Author Contributions
Simon Gloger: conceptualization, methodology, data curation, writing, visualization, and supervision; Laszlo Paulics: methodology, investigation, and review and editing; Christos Philippou: investigation, resources, and review and editing; Stathis Philippou: investigation, resources, review and editing, and visualization; Joern H Witt: review and editing; Burkhard Ubrig: conceptualization, methodology, validation, formal analysis, investigation, writing, supervision, and project administration.
Data Availability Statement
All data generated or analyzed during this study are included in this article. Further inquiries can be directed to the corresponding author.


