Abstract
Background: Hemangioma of the urinary bladder is a rare benign tumor. Although benign, their presenting symptoms are alarming for both patients and doctors, and their rarity makes them challenging to correctly diagnosis and treat. This review paper summarizes current knowledge about hemangioma of the urinary bladder, treatment options, and follow-up modalities. Summary: After the kidney, the bladder is the second most common location of hemangiomas in the urinary tract. There is painless gross hematuria on clinical presentation once the lesion has eroded the urothelium. Magnetic resonance imaging (MRI) has been reported to be valuable in diagnosing soft-tissue hemangiomas. Cystoscopic findings of a sessile, blue, multilocular mass suggest hemangioma. Most tumors are solitary, smaller than 3 cm, and have smooth or irregular surfaces. Histologically, lesions comprise numerous proliferative capillaries with thin-walled, dilated, blood-filled vessels lined with flattened endothelium. The treatment of patients with hemangioma has been controversial. It depends on the tumor size and the degree of penetration. The prognosis of these tumors is excellent. Key Messages: Despite the widespread use of MRI, CT, and endoscopy in evaluating hematuria, hemangioma remains one of the rarest bladder tumors. Moreover, only a histological examination can confirm the diagnosis. Transurethral resection, fulguration, and YAG laser ablation are standard treatments for small tumors. In terms of follow-up, cystoscopy after 6 months of treatment helps assess recurrence. In addition, MRI is a practical, noninvasive technique for follow-up of small hemangiomas.
Introduction
Hemangioma of the urinary bladder is a rare benign tumor that accounts for 0.6% of all bladder tumors [1]. After the kidney, the bladder is the second most common location of hemangiomas in the urinary tract [2]. Broca first defined urinary hemangiomas in an autopsy finding in 1869 [3, 4], but the first detailed case of cavernous hemangioma of the bladder, which was in a 19-year-old man, is attributed to Langhans in 1876 [4, 5]. These are most likely congenital, slow-growing tumors arising from the embryonic residue of unipotent angioblastic stem cells that fail to develop into typical blood vessels [4].
Hemangiomas of the urinary bladder occur in all age groups and are usually observed in patients <30 years of age, with a slight male predominance [6]. Because these lesions are considered congenital, most reported cases are in the pediatric age group [7]. In a review of 21 patients, Fuleihan and Cordonnier showed that lesions manifested clinically between the ages of 1 and 60 years [8]. In addition, Cheng et al. [6] studied 19 patients with hemangiomas of the urinary bladder between 1938 and 1998, and the average age of the patients at the time of diagnosis was 58 years (range: 19–76 years). Approximately 120 cases of histologically proven bladder hemangiomas have been described in the literature, but a systematic understanding of these lesions is incomplete.
Hemangiomas are classified as capillary, venous, cavernous, or arteriovenous tumors [7]. Of these vascular tumors, cavernous hemangioma is the most common; capillary or arteriovenous types are much less common [6, 7]. They may occur concomitantly with a cutaneous hemangioma or be associated with the Sturge-Weber syndrome or the Klippel-Trenaunay-Weber syndrome [9, 10]. Hemangiomas of the bladder were found in 3–6% of these patients [9]. Moreover, concomitant hemangioma of the skin and external genitalia was found in 31% of cases. Scopus and PubMed were searched for “hemangioma*” AND “bladder*” AND NOT “mice” OR “mouse” OR “rat”. In May 2023 from 151 founded articles, 81 original articles were analyzed. Here, we review the published literature, so busy clinicians will have a convenient summary of all that is currently known about the diagnosis, histology, and treatment of this rare tumor.
Clinical Presentation
Typically, there is painless gross hematuria once the lesion has eroded the urothelium [6]. The reported duration of hematuria ranges from a few days to 14 years, with a mean of 3.5 years [11]. In many cases, marked anemia has been reported, and episodes of profuse bleeding may occur [5, 11]. Other symptoms include suprapubic pain and irritative voiding symptoms (vesical irritation and urinary retention), especially when the lesion is located at the bladder neck [2, 6]. Renal colic may also occur if the ureteral orifice is obstructed [2].
Diagnosis
The alarming presentation and rarity of urinary bladder hemangiomas make them challenging to diagnose. They can exhibit two distinct morphologies on ultrasound (US): a circumscribed round intraluminal solid mass or diffuse bladder wall thickening with punctate calcifications [12]. Additionally, there may be solid echogenic masses with multiple scattered hypoechogenic spaces [12, 13]. Doppler US patterns show rich internal vascularization in color mode and arterial flow with high velocity and low resistance within the mass in spectral Doppler [14]. Moreover, intraoperative US can be a valuable tool in the localization and resection of suburothelial cavernous hemangiomas of the bladder [15].
Magnetic resonance imaging (MRI) has been reported to be valuable in the diagnosis of soft-tissue hemangiomas [16]. Hemangiomas show low to moderate signal intensity on T1-weighted images and marked hyperintense signal on T2-weighted sequences [13, 16, 17]. MRI can be used to determine the extent, size, and location of the tumor in three dimensions (axial, coronal, and sagittal) [13]. MRI has been reported to be superior to CT and US in assessing the extent of hemangiomas because of the better tissue/contrast ratio [13]. Moreover, multiplanar imaging provides better information about bladder wall infiltration and endovesical or extravesical extension [18].
Cystoscopic findings of a sessile, blue, multilocular mass are strongly suggestive of a hemangioma [6]. Hemangiomas of the bladder range in diameter from a few millimeters up to 10 cm [2]. Most tumors are solitary, small (<3 cm), and have a smooth or irregular surface [2, 6], shown in Figure 1. The tumors usually involve the bladder dome, posterior wall, and trigone [6]. These lesions are pink to blue in color, soft in consistency, irregular in shape, and bleed easily on touch [4].
Lesions vary widely from 0.5 cm to the size of a grapefruit and larger [11]. An analysis of 31 cases by Hendry and Vinnicombe revealed that the muscle layers were involved in about two-thirds of cases (64%), while in the other one-third of cases (36%), the lesion appeared superficial and involved only the submucosa [11]. Extravesical extension with an iceberg-like appearance has also been reported [2]. Accurate diagnosis requires confirmation by a biopsy [6].
If a suspected diagnosis of bladder hemangioma is made, a pelvic angiogram should be considered. This procedure can determine the size and extent of the lesion and reveal other lesions associated with the bladder or adjacent structures. However, a negative pelvic angiogram does not exclude the presence of hemangioma [4].
A technetium-99-tagged albumin scan is an alternative diagnostic technique that avoids the morbidity and technical difficulties of arteriography and can provide equivalent information [19]. Due to its molecular weight, albumin is not excreted by the kidney, and instead it accumulates preferentially in highly vascular tissue.
Differential Diagnosis
Diagnosis can be difficult, as imaging features are nonspecific and the differential diagnoses are broad [12]. Hemangiomas may be confused with other pigmented bladder lesions. Endoscopic differential diagnostic considerations for pigmented raised lesions include endometriosis, melanoma, and sarcoma [6]. Endometriomas are raised and blue and are usually associated with cyclic pelvic pain and cystoscopic changes during the menstrual cycle. Melanomas are pigmented but rarely present with hematuria [4].
The differential diagnosis for bladder hemangiomas also includes angiosarcomas and Kaposi sarcomas exhibiting cytologic atypia [20]. Both exuberant granulation tissue and papillary polypoid cystitis are characterized by marked inflammation, which is typically absent in hemangiomas [6].
Other causes of a lobulated bladder lesion include metastases, pheochromocytomas, inflammatory myofibroblastic tumors, eosinophilic cystitis, and rhabdomyosarcomas [16, 20]. MRI can help distinguish hemangiomas from other similar masses [13]. Ultimately, however, only histological examination can confirm the diagnosis.
Histology
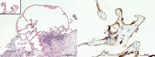
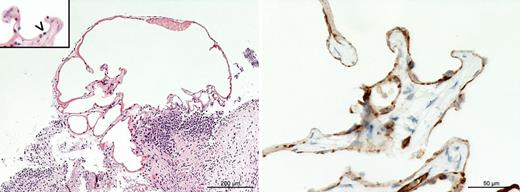
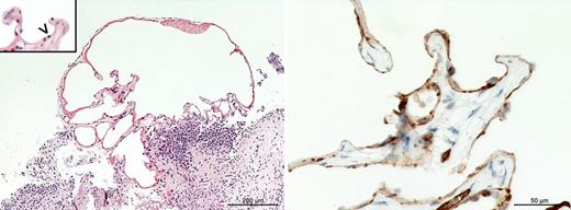
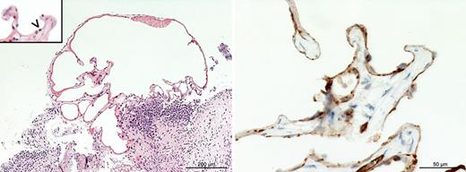
Histologically, hemangiomas of the bladder are identical to hemangiomas found at other sites [20]. They comprise numerous proliferative capillaries with flattened endothelium lined with thin-walled, dilated, blood-filled vessels. The plates are sometimes thickened by adventitial fibrosis [21], shown in Figure 2.
Treatment Options
Spontaneous regression of the tumor has not been reported [22]. However, asymptomatic hemangiomas do not require treatment [2]. There are several approaches to control the bleeding from bladder hemangiomas, but the treatment of patients with a hemangioma is controversial. Treatment depends on the tumor size and the degree of penetration [21]. Therefore, accurate staging is essential for the choice of treatment.
Ligation or selective embolization of the internal iliac artery has been shown to have limited effect in obstetric and gynecological conditions, mainly due to the rapid development of collateral blood flow and the recurrence of symptoms [23]. Additionally, bilateral super-selective embolization of the internal iliac artery has been associated with bladder infarction and prostate injury [24].
Conservative treatment is advocated when the trigone, ureteral orifices, or bladder neck are involved [4]. Radiotherapy, injection of sclerosing agents, hypertonic saline injection, or intravesical instillation of adrenalin have been used as conservative treatments [4, 7]. Anwar et al. [25] reported primarily medical treatment with propranolol for infantile hemangioma of the urinary bladder.
Bladder hemangioma was treated surgically for the first time in 1892 [4]. Surgical maneuvers included cystoscopic fulguration [6], transurethral resection [11], partial cystectomy [4], and subtotal cystectomy [8] (Table 1). Fatal bleeding has also occurred after attempts at transurethral resection or biopsy of these lesions. Three deaths from hemorrhage from bladder hemangiomas have been reported in the literature, one of them after transurethral biopsy [26].
Transurethral resection has successfully removed small superficial lesions, but given the diverse histological picture, transurethral resection and electrocoagulation might be dangerous because they can induce massive hemorrhage [8, 11]. Biopsy and fulguration are the treatments of choice for these patients [6]. Transurethral endoscopic surgical resection is the most effective method for treating small cavernous hemangiomas of the urinary bladder. For lesions smaller than 3 cm, the risk of uncontrollable bleeding is negligible [27, 28]. Complete excision is required to prevent increased morbidity and death. Moreover, incomplete excision may lead to the recurrence of the lesion [19].
For extensive or multiple tumors, partial or simple cystectomy or radiotherapy may be required [6, 8, 11]. Radiotherapy has been reported to be effective in 2 patients [29].
Endoscopic flexible neodymium: YAG laser irradiation is a more recent successful method to control bleeding of bladder hemangioma. A neodymium YAG laser emits light with a wavelength of 1,060 nm. Light of this wavelength is poorly absorbed by body pigments and water, resulting in a strong thermal effect and excellent tissue coagulation [10, 30].
Follow-Up
Cheng et al. [6] treated 16 patients with biopsy with fulguration, 2 with just biopsy, and 1 with partial cystectomy. None of these 19 patients developed recurrence, with a median (range) follow-up of 6.9 (0–25). Also, no adverse sequelae occurred in any of the patients [6].
Imaging should be performed at follow-up to confirm that the tumor has not recurred. MRI is useful for follow-up of patients with bladder hemangiomas after 6 months of treatment with biopsy and fulguration of cavernous hemangioma in the bladder [13]. Syu et al. [21] used flexible cystoscopy and abdominal CT scan at 6, 12, and 24 months after surgical treatment of a 17-year-old young man with a cavernous hemangioma of the urinary bladder. After open partial cystectomy with en bloc resection of the urachus, there was no recurrence. Regardless of the preferred treatment method, cystoscopic follow-up at 6 months should always be performed [2, 16, 21].
Limitations
The present review has a few limitations. First, we performed only an informal narrative review, not a systematic review, of the literature, so the quality of the evidence has not been graded, and the choice of literature presented here follows our personal choices. Second, we only used two search engines (Scopus and PubMed), so other studies not cataloged there may well have overlooked. Third, the primary literature we did find provided only weak evidence on this condition, mostly based on case reports or small cohorts of patients. Given this weak evidence base, it is difficult to provide definitive recommendations for treatment and follow-up modalities.
Conclusion
Despite the widespread use of MRI, CT, and endoscopy in the evaluation of hematuria, hemangioma remains one of the rarest bladder tumors. Hemangiomas of the bladder have been treated by observation, transurethral resection and electrocoagulation, radiation, various degrees of bladder resection (partial or total cystectomy), and laser treatment. Transurethral resection, fulguration, and YAG laser ablation are standard treatments for small tumors. Partial/simple cystectomy or radiation therapy may be required for bulky or multiple tumors. Regarding follow-up, cystoscopy after 6 months of treatment helps assess recurrence, while MRI is a useful noninvasive technique for follow-up of small hemangiomas. The prognosis of these tumors is excellent.
Acknowledgment
We would like to thank Michael Hanna, PhD (Mercury Medical Research and Writing), for proofreading the manuscript and providing some revision and feedback.
Conflict of Interest Statement
The authors have no conflicts of interest to declare.
Funding Sources
This study was not supported by any sponsor or funder.
Author Contributions
Data collection: R.G.; data analysis and interpretation: R.G., V.S., and R.R.; manuscript writing: R.G. and R.R.; manuscript editing: V.S., B.A., R.R., and A.S.; and project development: R.G., V.S., R.R., B.A., and A.S.

