Abstract
Hypothesis: A structurally sound puboprostatic ligament (PPL), like the pubourethral ligament in the female, is the core structure for control of stress urinary incontinence (SUI) in males. Methods: The hypothesis was tested at several levels. Twelve transperineal ultrasound examinations were performed to confirm reflex directional closure vectors around the PPL, with digital support for the PPL rectally and cadaveric testing with a tissue fixation system (TFS) minisling, and finally, 22 cases of postprostatectomy incontinence were addressed only with retropubic insertion of a 7-mm TFS sling between the bladder neck and perineal membrane to reinforce the PPL. Results: On ultrasound testing, 3 urethral closure muscles were confirmed to act reflexively around the PPL to close the urethra distally and at the bladder neck. A finger was inserted rectally, pressed against the symphysis only on one side of the urethra at the origin of the PPL that controlled urine loss on coughing. The mean pre-op pad loss was 3.8 pads at 9 months; the mean post-op loss was 0.7 pads; 13/22 (59%) patients were 100% improved; 7/22 (31%) improved >50% but <100%; 2/22 (9.1%) improved <50%. Conclusions: The 7-mm-wide TFS minisling is the first retropubic minisling for postprostatectomy urinary incontinence. It differs significantly from transobturator male operations surgically and in modus operandi. As in the female, reconstruction of the PPL alone was sufficient to cure/improve SUI, suggesting that preservation of the PPL is of critical importance during retropubic radical prostatectomy.
Introduction
Male incontinence after radical retropubic prostatectomy (RRP) varies between 1 and 57% [1]. The continence mechanism for men is not well understood. Anatomic structures thought to control urinary continence include detrusor muscle, internal sphincter, ureterotrigonal muscles, levator muscles, and in particular, rhabdosphincter [2]. Unlike the pubourethral ligament (PUL) in the female, no role seems to be ascribed for the puboprostatic ligament (PPL) in the male, even though repair of the PPL analog, the PUL, is the lynchpin of the highly successful midurethral sling operation in the female [3].
Multiple studies have demonstrated sphincter incompetence in patients with stress urinary incontinence (SUI) after RRP, which is thought to be the result of sphincteric injury [2]. In their review, Hoyland et al. [2] concluded that “there is a paucity of studies that can accurately answer the exact anatomic and physiologic etiologies of postprostatectomy urinary incontinence” [1].
In 2006, Rehder and Gozzi [4] introduced the transobturator retroluminal repositioning sling suspension for male SUI, now known as the AdVance male sling (Boston Scientific, Marlborough, MA, USA). This is a polypropylene monofilament mesh placed as a wide “hammock” retrourethrally under the proximal part of the urethral bulb, passing bilaterally through the obturator fossa. Its modus operandi was generally stated as compensating for the postprostatectomy laxity of the posterior supporting structures “by realigning the anatomy of the urethral sphincter complex toward the normal, preprostatectomy configuration.”
Our hypothesis is that the continence mechanism for males is similar to that of the female. Specifically, the PPL performs the same function in the male as discovered in the female in 1990 [5]: it acts as an anchoring point around which 3 opposite directional forces contract to close the distal urethra and bladder neck [5], as seen in Figure 1, as forward, backward, and downward and is shown in online supplementary Video 1 (for all online suppl. material, see www.karger.com/doi/10.1159/000520629). SUI is a consequence of laxity in the PPL which weakens the closure muscles (Fig. 1), so urine is lost on effort.
There are 3 aims of this study, all related as follows: (1) to confirm the presence of the 3 reflex directional forces in a male by use of transperineal ultrasound, both in a normal male and after radical prostatectomy; (2) to use a “simulated operation” technique tested for the first time in the male by anchoring the PPL immediately behind the symphysis pubis by pressing on the posterior symphysis with a forefinger inserted rectally to test if this maneuver controls urine leakage on coughing. This test is similar in principle to the PUL support test in the female (online suppl. video https://youtu.be/0UZuJtajCQU); and (3) to perform a single incision tissue fixation system (TFS) minisling (TFS Surgical, Adelaide) with the tape positioned below the urethra in the midpoint between the anastomosis and the perineal membrane much as described in the female [6] as a cure for SUI would be the ultimate test of our hypothesis. Patient consent was obtained for the surgery and to publish deidentified results.
Methods
Testing for 3 Directional Closure Forces in the Male
We used transperineal ultrasound to study the pattern of muscle movement during straining in 12 females and 12 males. Of the males, 6 tests were performed in men with an intact prostate and 6 after their prostate had been removed. We looked for the 3 directional movements around the PULs described in 1990 as closing the distal and proximal urethra in the female, as shown in Figure 2 and online supplementary Video 2 male.
A New Digital Test for SUI in the Male
We applied a new digital test, inspired by our testing of females with SUI (https://youtu.be/0UZuJtajCQU). A forefinger was inserted rectally, pressed against the posterior surface of the pubic bone on one side of the urethra (sufficiently lateral so as not to obstruct the urethra) to support the PPL. Twenty-two patients who had a positive digital test (control of SUI) were admitted for TFS minisling surgery. There were no exclusions. No urodynamic testing was performed.
Cadaver Testing (Fig. 3)
Prior to any live surgery being performed, the TFS sling as planned was first tested in a male cadaver. The methodology employed was identical with the methodology used to perform the TFS midurethral sling in the female. Abdominal dissection found that the anchor was placed exactly in the position of the PPL, similarly to our experience using the TFS in the female.
Surgical Technique
The preferred mode of anesthetic is spinal, so the patient can cooperate with coughing while the tape is being tensioned.
- 1.
A vertical incision is made in the perineum to expose the urethral bulb.
- 2.
A full-thickness incision is made to release the attachment of the bulb from the central tendinum. This allows access to the perineal membrane.
- 3.
A horizontal incision is made on the perineal membrane 1 cm down from the urethra, and the central tendinum is divided. Using fine-dissecting scissors, a tunnel is made lateral to the urethra behind the pubic bone toward the adjacent levator muscles, as shown in Figure 4.
- 4.
The TFS applicator is inserted, and the anchor with tape attached is inserted into the adjacent muscle. The trigger is pressed, and the anchor is released. A gentle “tug” is made on the tape to check that the anchor has gripped. This procedure is repeated on the contralateral side.
- 5.
With the applicator still in place, the tape is tightened so that it just touches the urethra. The sling remains as a “U,” loosely touching the posterior urethral wall, as shown in Figure 5. Around 300 mL of saline is placed in the bladder. The patient is now asked to cough. The aim was to tighten the tape sufficiently to prevent urine loss, perhaps allowing only a tiny drop to escape. The one-way system of the tape at the base allows very accurate, mm by mm tightening. The process is shown in online supplementary Video 3.
- 6.
The incisions of the membranous urethra and perineal skin are now closed.
Results
Whether male or female, radical prostatectomy or not, the function of the muscles as seen on transperineal ultrasound, appeared to be the same: 3 directional movements were seen, forward, backward, and downward, usually around a structure consistent with the PUL (female) or PPL (male), as shown in online supplementary Videos 1 and 2. In men who had undergone RRP, where the PPL was evident, straining frequently showed extension of the PPL, as shown in Figure 2 and online supplementary Video 2, consistent with our hypothesis. SUI after RRP is a consequence of ligament weakness being unable to sustain the downward/backward muscle forces which then open out the posterior urethral wall to cause urine leakage, as shown in online supplementary Video 2.
The surgical group comprised 22 males. The operations were performed in the period of January 2013 to December 2014. Ages ranged from 65 to 78 years. All had undergone prostatectomy for prostate cancer. All had failed physiotherapy treatment for at least 6 months duration. There were no significant perioperative or postoperative complications and no significant postoperative pain. The catheter was left indwelling for 24 h. There was no postoperative urinary retention. Length of the stay in hospital was 3 days. The patients were assessed at 3, 6, and 9 months, as shown in Table 1.
Discussion
We report the first single incision retropubic sling for the cure for postprostatectomy male incontinence, the TFS-tensioned minisling. It is based on our experience in correcting female SUI with the TFS retropubic midurethral minisling, which works by reinforcing weak or damaged PULs. As in females, a narrow sling measuring 7-mm wide was placed behind the functional urethra.
In the male, the TFS sling is placed retrourethrally with anchors placed into the right and left pubococcygeus muscles. These muscles are pressing forward toward the symphysis while coughing, simultaneously pulling the sling in the forward direction to immobilize the functional urethra.
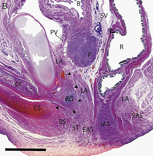
In the female, immobilization of the distal urethra provides a firm anchoring point for the downward/backward muscle forces which close the bladder neck and the forward forces which close the distal urethra, as shown in Figure 1 and online supplementary Video 1. The male online supplementary Video 2 shows the PPL “giving way,” virtually doubling in length, indicating PPL weakness, as per our hypothesis which states that a firm PUL/PPL ligament is required for urethral closure. The anatomical slide from a fetal male specimen [7] in Figure 6 shows comparable anatomy with the female (Fig. 1), except for the presence of the prostate: the PPL arises from the lower end of the symphysis and attaches to the anterior wall of the prostate. It continues upward as the pubovesical ligament to attach to the precervical arc of Gil-Vernet; the anterior portion of pubococcygeus (levator ani) attaches to the symphysis and is attached to the PPL; levator ani attaches to the posterior wall of rectum.
These structures would allow activation of the same 3 striated muscle forces which close the distal and proximal urethra in the female [5] (Fig. 1). The spinal anesthetic surgical methodology allows the surgeon to achieve the mm-by-mm tightness required to achieve continence in males with postprostatectomy SUI, at the same time, minimizing postoperative retention (online suppl. Video 3).
“How does the TFS sling restore male SUI?” As in the female, a firm PPL (PUL) is required for the 3 directional forces to function optimally. It is known that a loose anchoring point results in a diminution of a striated muscle’s contractile force [8] which weakens both urethral closure mechanisms, distal and proximal (bladder neck) (Fig. 1).
How Do Our Results Impact Surgical Radical Prostatectomy Technique?
Our surgical technique created a PPL neoligament exactly as is done in the female midurethral sling. We believe it validates previous studies [9‒11] which stated that the PPL and its entire associated fascia need to be conserved during the surgery. The fact that PPL conservation is now being done more widely and that the rates of postoperative leakage are stated to be concomitantly falling with PPL preservation appears to confirm our hypothesis that the PPL is critical to the continence mechanism.
How is the male TFS minisling repair different from the AdVance TOT? The Rehder/Gozzi [4] method is transobturator. A polypropylene monofilament mesh is placed retrourethrally under the proximal part of the urethral bulb as a wide mesh hammock. We hypothesize that it works by limiting the downward movement of a weak PPL which would cause the funneling seen in a female with SUI. The TFS sling effectively creates a new PPL which prevents descent on effort and has a 2nd mechanism; the tape is attached to the closure muscles, so the urethra is compressed from behind by the tape by the forward muscles contracting on effort (Fig. 1). Our data for the first ever retropubic TFS minisling for 22 patients (59% cure, 32% > 50% improved) at 9 months is at least equivalent to the initial data of Rehder/Gozzi (20 patients, 40% cure, 30% improved at 6 weeks).
Conclusions
Primacy of the 1st male minisling aside, perhaps the most significant part of this work may be the defining of the PPL as the fundamental component of the male continence mechanism, which must be carefully preserved during RRP. The male TFS minisling, like its female analog, works by directly reinforcing a damaged PPL to prevent descent and opening of the posterior urethral wall. At the same time, the artificial PPL neoligament created restores the distal and bladder neck closure mechanisms [3, 5, 6].
Statement of Ethics
The study was conducted according to the WMA declaration of Helsinki and exempted from ethics review file – University of Western Australia Ethics Committee reference – RA/4/20/4548 May 15, 2018. Prior to the study commencing, written informed consent was obtained from all patients, to participate in the study, for the surgery itself and publication of the results and any accompanying images.
Conflict of Interest Statement
The authors do not have any conflict of interest.
Funding Sources
The authors have received no external funding.
Author Contributions
All the authors contributed to assessment of results and writing. S.M. and P.P. contributed to conceptualization of the surgery and study; S.M. along with sometime assistance from P.P. contributed to surgery; S.M. and P.P. contributed to the cadaveric study and to the figures and videos.
Data Availability Statement
All data generated or analyzed during this study are included in this article and/or its online supplementary Files. Further inquiries can be directed to the first author.

![The detailed anatomy of urethral closure in the female as described in 1990 [1]. The PUL inserts into the midurethra and vagina. The PVL has the same origin as the PUL; it inserts into a thickening of the anterior bladder wall called the “arc”. On effort, the PCM contracts forward against the PUL to stiffen the posterior wall of the distal vagina; the LP pulls back against the PUL to stiffen the PVL and proximal urethra; the conjoint longitudinal muscle of the anus (LMA) pulls down against the uterosacral ligament (not shown here) to rotate the bladder around the arc (broken lines) to close (kink) the urethra at the bladder neck. The vagina between the PUL and bladder base “ZCE” is elastic, so it can stretch bilaterally to allow the distal (PCM) and proximal (LP/LMA) closure mechanisms to operate separately. PVL, pubovesical ligament; arc, precervical arc of Gil-Vernet; PCM, pubococcygeus muscle; LP, levator plate; ZCE, zone of critical elasticity. Refer to the image caption for details.](https://karger.silverchair-cdn.com/karger/content_public/journal/uin/106/3/10.1159_000520629/3/m_000520629_f01.jpeg?Expires=1777751514&Signature=k5E2TOdXzm-2xI6gh09aqF5Q1mvrCQDXzDBuwEEmB45g7dcleJ9f5MOHTOLRN8UOK7QdYce7UrEtxTyxz6sG6tdrIjOedTedgwyS3etLVOKlzdmvCpq6~EU~sN-~epJqz~BsqunOCX3SD0HZ9cRNQH3-~Pgpaa~2ZNbf-sKramz0H1mQeup9aQbrzTsHmGwgqQoFjUkbq2OoSf~t1UtHEJ079WZRbzQSPEMwSnBnD9Z4k~nIsBWn2cm7bje~v~-4Qle8b-xeybEexLdOjCCONeaVgHMR5tyUBHBsSEYT1XM2VmNYdqVzGUK-1fW33N1c-yc8pEXlScpoTjcKs0wc5Q__&Key-Pair-Id=APKAIE5G5CRDK6RD3PGA)




![Anatomy of a fetal male, parasagittal section. Caudal portion of the external urethral sphincter (arrowheads) wrapping the BG (by permission Gil-Vernet et al. [7]). arc, precervical arc of Gil-Vernet; PV, pubovesical ligament; SV, seminal vesicle; ST, transverse superficial perineal muscle; BG, bulbourethral gland; LA, levator ani; CS, penile bulb; EAS, external anal sphincter; IAS, internal anal sphincter; ST, superficial transverse perinei; BS, bulbospongiosus muscle. Refer to the image caption for details.](https://karger.silverchair-cdn.com/karger/content_public/journal/uin/106/3/10.1159_000520629/3/m_000520629_f06.jpeg?Expires=1777751514&Signature=QUVpvU8EtHhJ~o9Z1Ajf1-HjIVRFRC7S2LMPvh~BqIMBGQxqD7dfZlS4Y2nvfxNaiXtthnInUq-HbXuh3mQWFNaMMXLtrA5eChdUjLjA7BDDhrETm8F3p2-kuwpT~0AK7tpojMdJyhjKTwA97acsRFgFM4lY6apqP9lRE3ajOXUmJO~Z3NcC0ayVm1gRFuAiFRQ9wxRTtlZ5JoL2VLghxMnlM4~v5J50B7ScMyQO95ydHbb2H34SOmTwq90VQh3uKpuXU1r5s~1beXFHTzNYu1acX9-iQICM3vYg5ShkSFUeXHQdWyNdkfGj6HOs2dnHCxk1hyjXZDn8jM4bEuiDMw__&Key-Pair-Id=APKAIE5G5CRDK6RD3PGA)
