Abstract
Ureteroinguinal herniation is a rare event, usually diagnosed during the surgical repair of inguinal hernias. Here, we describe the first case of a kidney blow out due to this condition in a male infant.
Introduction
Inguinal herniation of the ureter is a rare event and is mainly observed in obese middle-aged men. In infants, it is very rare, with only 5 reported cases in the literature [1,2,3,4,5]. It is important to recognize in order to prevent accidental ureteral damage during inguinal hernia repair, which is a known complication [3,4]. Furthermore, symptomatic hydronephrosis has been reported [6]. Here, we report the case of a male infant with a kidney blow out caused by this condition. Consent from the parents has been obtained.
Case Report
A 3-month-old boy was seen for follow-up at the pediatric nephrology outpatient clinic. Antenatally, he had been diagnosed with bilateral hydronephrosis and megaureters, Society of Fetal Ultrasound grades 4 and 2 on the left and right side, respectively. After birth at 34 weeks, he had been diagnosed with Sotos syndrome, pulmonary stenosis and ventricular septal defect. Further investigation of his urinary tract revealed grade I vesico-ureteral reflux (VUR) on the right and grade V VUR on the left side. There was no suspicion for posterior urethral valves or duplex kidneys. DMSA showed no parenchymal defects and split renal function was 44% on the left and 56% on the right side. Despite conservative therapy with trimethoprim antibiotic prophylaxis and intermittent catheterization, he suffered from recurrent urinary tract infections (UTIs) and even urosepsis.
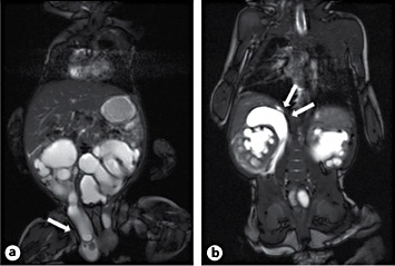
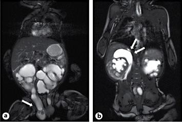
At the age of 10 weeks, surgical repair for bilateral inguinal hernia was planned within 1 month. While his baseline serum creatinine was 40 µmol/l (0.45 mg/dl), there was a sudden rise to 69 µmol/l (0.78 mg/dl). The boy showed mild discomfort, the abdomen was non-tender, the inguinal hernias appeared unchanged and were not painful. Dehydration and UTI were ruled out. Renal ultrasound showed the formally known dilation on the left side, yet hydroureteronephrosis on the right side had increased significantly. On this side, a novel fluid collection surrounding the upper pole was noted, which prompted an MRI study (fig. 1). This revealed ureteroinguinal herniation of the right megaureter. A fluid collection around the right upper pole raised suspicion of a kidney blow out. Surgical exploration was conducted on the same day.
Urethral valves were ruled out by cystoscopy and a Pfannenstiel incision was performed. The right inguinal canal revealed a peritoneal sac and adjacent the megaureter corresponding to the paraperitoneal variant of inguinal herniation (fig. 2).
The ureter was mobilized from the bladder wall and a considerable length had to be resected because of dubious viability. Subsequently, ureteroneocystotomy according to Politano Leadbetter was performed after remodelling of the ureter according to Hendren. A double J stent was placed. Additionally, bilateral orchidopexy was performed and standard inguinal hernia repair was conducted on the left side.
Because the child was in poor condition, performing complicated ureteric reimplantation on the left side was postponed. Instead, a lumbotomy was conducted. The ureter showed a very dysplastic tortuous aspect with caliber differing between 2 and 6 cm. After stretching, a considerable part was resected to minimize refluxing volume and ureterocutaneostomy according to Sober was performed.
Postoperative recovery was uneventful. The creatinine level normalized to 24 µmol/l (0.27 mg/dl), and 10 weeks postoperatively, the double J stent was removed. Subsequent ultrasounds showed resorption of the urinoma on the right side and still considerable dilation of the left ureter. After 6 months of follow-up, the creatinine level remained stable and no UTIs occurred.
Discussion
There are 2 variants of ureteroinguinal hernias, that is, a paraperitoneal and an extraperitoneal type. In the extraperitoneal type there is no hernia sac in contrast to the paraperitoneal type. To our knowledge, this paper is the first to report acute obstruction and kidney blow out due to this condition in an infant.
Although ureteral herniation in infants is very rare, VUR is fairly common. Preventing pyelonephritis and subsequent renal scarring is essential [7]. Conservative management consists of antibiotic prophylaxis and management of lower urinary tract dysfunction. In the case of breakthrough infections, as described here, early surgical intervention is required to prevent renal damage in the long term. Although there has been reluctance to surgery on the bladder in infants with the fear of neurological damage, it has been shown that it does not result in a difference in urodynamic findings compared to surgery performed after the age of 1 year [8].
An alternative approach to primary reimplantation of the herniated ureter could have been to conduct a temporary ureterocutaneostomy, as on the left side. However, this would have resulted in the unnatural situation of a ‘dry bladder'. A temporary percutaneous nephrostomy was not regarded an option because the necrotic part of the ureter may lead to infections if it is not resected and it would only result in postponement of surgery in a then contaminated area. Ureteral reimplantation on the left and ureterocutaneostomy on the right ureter would have been a good alternative.
Even though ureteral herniation in infants occurs sporadically, it is important to recognize to prevent ureteral damage during inguinal hernia repair or, as was described here, as it may lead to obstructive nephropathy and even kidney blow-out. If the ureter is without deformities, the herniation can be corrected by retroperitoneal replacement, but in case of questionable viability or severe dilated ureters, partial resection and ureteroneocystostomy or temporary ureterocutaneostomy should be performed.
Conclusion
Although very rare, in a child with megaureters and inguinal hernia, a sudden rise in creatinine should raise the suspicion of a kidney blow-out due to ureteroinguinal herniation. Management of ureteroinguinal herniation is surgical, and in the case of megaureters, the options include primary ureteral reimplantation or temporary ureterocutaneostomy.
Disclosure Statement
The authors declare no conflict of interest.


